矯正歯科の症例
下の前歯のガタガタが気になる。歯を抜かないワイヤー矯正症例!
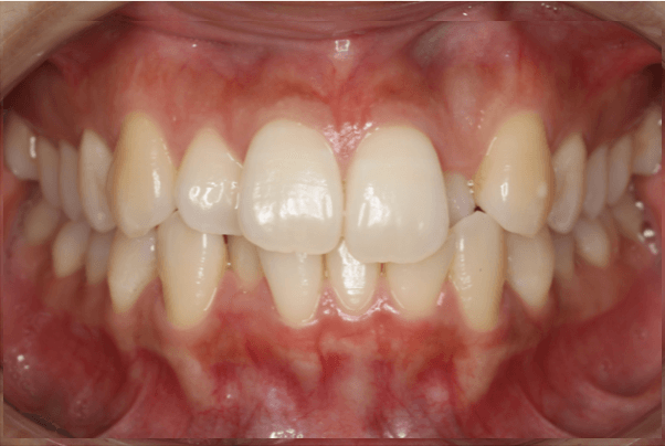
主訴
下の前歯のでこぼこが年々ひどくなってきているような気がするので、治したい。
できれば歯を抜かないでほしい。
口元の前突感は気になっていない。
下の前歯のでこぼこが年々ひどくなってきているような気がするので、治したい。
できれば歯を抜かないでほしい。
口元の前突感は気になっていない。
当院では、患者様が抱えていらっしゃるお口のお悩みや疑問・不安などにお応えする機会を設けております。どんな事でも構いませんので、私達にお話しして頂けたらと思います。ご興味がある方は下記からお問い合わせください。
| 診療時間 | 月 | 火 | 水 | 木 | 金 | 土 | 日 | 祝 |
|---|---|---|---|---|---|---|---|---|
| 10:00 〜 13:00 | ◯ | ○ | ○ | ○ | ○ | ○ | ○ | ※ |
| 14:30 〜 21:00 | ○ | ○ | ○ | ○ | ○ | △ | △ | ※ |
△土曜,日曜診療時間:14:00~18:00
※祝日診療することもあります。詳細はブログをご確認ください。
※午後の最終受付は、一般診療は19時半まで、特殊診療(インプラント治療、矯正治療)は20時半までとなります。
| 診療時間 | 月 | 火 | 水 | 木 | 金 | 土 | 日 | 祝 |
|---|---|---|---|---|---|---|---|---|
| 10:00 〜 13:00 | ◯ | ○ | ○ | ○ | ○ | ○ | ○ | ※ |
| 14:30 〜 21:00 | ○ | ○ | ○ | ○ | ○ | △ | △ | ※ |
△土曜,日曜診療時間:14:00~18:00
※祝日診療することもあります。詳細はブログをご確認ください。
※午後の最終受付は、一般診療は19時半まで、特殊診療(インプラント治療、矯正治療)は20時半までとなります。


