【公式】インプラント・矯正治療のことなら東部東上線、志木、朝霞、和光、新座市の志木駅前歯科グループ

駐車場完備 土曜・日曜・祝日も診療
キービジュアル

インプラント

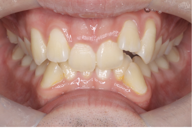
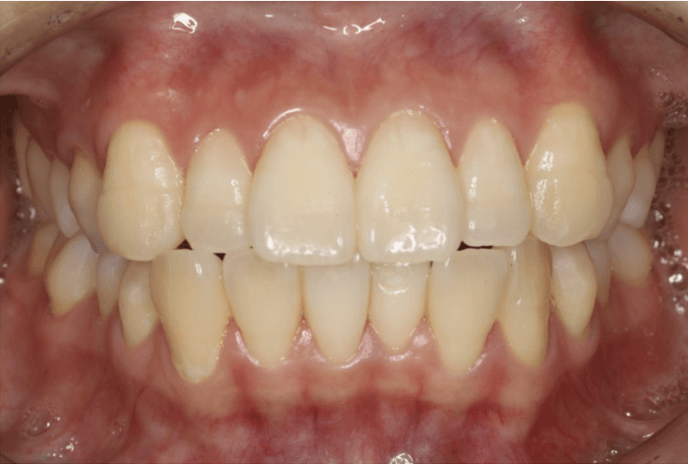
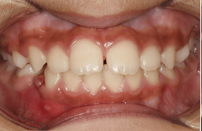
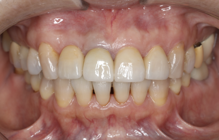
インプラントと矯正治療の融合治療!

  • before
    志木 歯医者 矯正
  • after
    志木 歯医者 矯正

主訴

全体的な凸凹を治したい
他の医院で抜歯が必要な歯があると言われている

詳細はこちら

骨が足りない 骨増生を行ったインプラント症例

  • before
    志木 歯医者 インプラント
  • after
    志木 歯医者 インプラント

主訴

右下の歯を抜いて、骨が足りないのでインプラントは難しいと言われた。
ブリッジと入れ歯はしたくない。

詳細はこちら

70代男性 前歯の抜歯即時インプラント 前歯が折れた

  • before
    志木 歯医者 インプラント
  • after
    志木 歯医者 インプラント

主訴

前歯が折れたので、インプラントにしたい
全身的な既往歴はなし

詳細はこちら

重度に骨が吸収したインプラント前の骨を作る処置(GBR)

  • before
    志木 インプラント 歯医者
  • after
    志木 インプラント 歯医者

主訴

インラントをしたいけど、骨がないので他院で断られて。
できるならブリッジは周りの歯を削りたくないので。インプラントで行いたい。

詳細はこちら

部分矯正とインプラント治療の融合治療

  • before
    志木 インプラント 矯正
  • after
    志木 インプラント 矯正

主訴

下の歯並びの矯正をしたい。
左下の歯を抜かないといけないと他院で言われ、インプラントをこちらでしたい。

詳細はこちら

60代女性 歯根破折した歯の抜歯即時インプラント(抜歯後すぐに入れられるインプラント治療)

  • before
    志木 歯医者 インプラント
  • after
    志木 歯医者 インプラント

主訴

右下の歯が痛い

詳細はこちら

30代女性 左上奥歯 上顎の骨が少ない安全なインプラント治療

  • before
    志木 歯医者 インプラント
  • after
    志木 歯医者 インプラント

主訴

左上の奥歯がないのでインプラントをしたい

詳細はこちら

インプラント6本同時埋入 50代女性症例

  • before
    志木 歯医者 インプラント
  • after
    志木 歯医者 インプラント

主訴

入れ歯を使っているが、全然合わないので、インプラントにしたい
歯科恐怖症がある

詳細はこちら

静脈内鎮静下で行った 4本インプラント同時埋入 50代男性症例

  • before
    志木 歯医者 インプラント
  • after
    志木 歯医者 インプラント

主訴

インプラントをやりたいが糖尿病があり他院で断られた
どうしてもインプラントをしたい

詳細はこちら

前歯が折れた 抜歯即時インプラントから最終補綴完成まで

  • before
    志木 歯医者 インプラント
  • after
    志木 歯医者 インプラント

主訴

前歯が食事中にバキッと音がしてから痛みがある
歯が揺れている

詳細はこちら

前歯インプラントにおける骨造成 ※骨が足りないケース

  • before
    志木 歯医者 インプラント
  • after
    志木 歯医者 インプラント

主訴

前歯が揺れている
そろそろ治療をしたい

詳細はこちら

左下第一大臼歯 抜歯即時インプラント 40代男性症例

  • before
    志木 歯医者 インプラント
  • after
    志木 歯医者 インプラント

主訴

左下の痛い
抜歯が必要ならインプラントをしたい

詳細はこちら

入れ歯で噛めない そもそも入れ歯を入れる自分が嫌 複数本のインプラント治療

  • before
    志木 歯医者 オールオン4
  • after
    志木 歯医者 オールオン4

主訴

上の歯がボロボロ
全部抜歯をして固定式のインプラントにしたい。

詳細はこちら

部分矯正 前歯のインプラント セラミック治療の3者合わせ治療

  • before
    志木 歯医者 インプラント
  • after
    志木 歯医者 インプラント

主訴

歯が黄色い
機能的にも審美的にも綺麗にしたい思っている

詳細はこちら

上の歯を全て抜いてインプラントにした オールオンX症例

  • before
    志木 歯医者 インプラント
  • after
    志木 歯医者 インプラント

主訴

上に歯がずっと歯周病でなかなか治らずに困ったいる。
抜いてインプラントで治療が可能ならインプラントを全部いれたいというご希望でご来院されました。

詳細はこちら

下顎第一大臼歯 抜歯即時インプラント

  • before
    志木 歯医者 インプラント
  • after
    志木 歯医者 インプラント

主訴

左下の歯から臭いがする
痛みも少しある

詳細はこちら

前歯の見た目を綺麗に治したい 前歯インプラント

  • before
    志木 歯医者 インプラント インビザライン
  • after
    志木 歯医者 インプラント インビザライン

主訴

前歯に乳歯が残っていて、グラグラ。もともと、大人の歯がないと言われている。
ずっと見た目を気にしている。
綺麗な見た目になるようにインプラントをしたい。

詳細はこちら

当院にて矯正治療中に歯が割れてしまい、矯正後インプラント治療を行なった症例

  • before
    志木 歯医者 矯正 インプラント
  • after
    志木 歯医者 矯正 インプラント

主訴

矯正治療中に歯が割れてしまった。
インプラントをしたい。

詳細はこちら

矯正歯科

重度の八重歯、でこぼこの矯正治療 

志木 歯医者 矯正 志木 歯医者 矯正

主訴

八重歯とでこぼこの歯ならびが気になって矯正治療を検討している。

詳細はこちら

1本歯が足りない、変則抜歯のワイヤー矯正治療!!

志木 歯医者 矯正 志木 歯医者 矯正

主訴

八重歯が気になる
歯が少ないと言われた

詳細はこちら

下の前歯のガタガタが気になる。歯を抜かないワイヤー矯正症例!

志木 歯医者 矯正 志木 歯医者 矯正

主訴

下の前歯のでこぼこが年々ひどくなってきているような気がするので、治したい。
できれば歯を抜かないでほしい。
口元の前突感は気になっていない。

詳細はこちら

片側性のクロスバイトの改善!!骨格性の顎のズレを歯列矯正にて改善した症例

志木 歯医者 矯正 志木 歯医者 矯正

主訴

歯の真ん中がずれているのを改善したい。
口元を引っ込めたい。

詳細はこちら

噛み合わせが深すぎる、でこぼこの改善のための矯正治療!

志木 歯医者 矯正 志木 歯医者 矯正

主訴

噛み合わせが悪いと感じる
凸凹が気になる

詳細はこちら

E-ラインの改善!出っ歯の改善のための矯正治療!!

志木 歯医者 矯正 志木 歯医者 矯正

主訴

出っ歯を治したい。
口元の改善をしたい。
E-ラインを考えた矯正を希望する。

詳細はこちら

小児矯正 歯が出てこない!回転した歯の矯正治療

志木 歯医者 矯正 志木 歯医者 矯正

主訴

歯が生えてこない
曲がったが歯があると学校の歯科健診で指摘された

詳細はこちら

30代女性 重度凸凹の矯正治療症例!!

志木 歯医者 矯正 志木 歯医者 矯正

主訴

長年気になっている凸凹の歯ならびを綺麗にしてほしい。

詳細はこちら

治療済みの犬歯を抜歯して凸凹を改善したワイヤー矯正

志木 歯医者 矯正 志木 歯医者 矯正

主訴

八重歯が気になる
すでに大きく削った治療をしている

詳細はこちら

難症例!!20代女性 前歯が噛んでいない開咬症例

志木 歯医者 矯正 志木 歯医者 矯正

主訴

前歯で噛めない
口元を下げたいというご要望がありました

詳細はこちら

曲がって生えている前歯の歯を抜かないマウスピース矯正

志木 歯医者 矯正 志木 歯医者 矯正

主訴

曲がった前歯を綺麗に並べたい
できれば歯を抜きたくない
マウスピース矯正を希望

詳細はこちら

回転した歯、八重歯をマウスピース矯正で改善した症例

志木 歯医者 矯正 志木 歯医者 矯正

主訴

奥歯が回転していると他院で言われた。
八重歯を綺麗に並べたい。

詳細はこちら

口元美人へ!20代女性のワイヤー矯正治療

志木 歯医者 矯正 志木 歯医者 矯正

主訴

口元の前突感と左奥歯がうまく噛めていないので、噛み合わせを綺麗に整えたい。

詳細はこちら

裏側矯正(リンガル矯正)、マウスピース矯正のハイブリッド矯正 口元の突出感の改善症例

志木 歯医者 矯正 志木 歯医者 矯正

主訴

口元の突出感が気になる。
前歯の凸凹と奥歯の凸凹も気になっているので合わせて治したい。
裏側矯正で見えない矯正治療を希望している。

詳細はこちら

抜歯を行ったマウスピース矯正治療!前歯が噛めない開咬の矯正治療

志木 歯医者 矯正 志木 歯医者 矯正

主訴

前歯で食べ物が噛みきれないのが長年の悩み
噛み合わせを矯正治療でしっかり治したい

詳細はこちら

歯が小さく、隙間がたくさんある患者様 ワイヤー矯正とダイレクトボンディングの融合治療!

志木 歯医者 矯正 志木 歯医者 矯正

主訴

隙間がたくさんあるのが気になる。
矯正治療でなんとかしたい。

詳細はこちら

口元の改善を行った 小臼歯4本抜歯、ワイヤー矯正

志木 歯医者 矯正 志木 歯医者 矯正

主訴

前歯が出ているのを治したい。
口元の突出感を矯正で治療したい。

詳細はこちら

先天欠如歯をインプラント治療ではなく矯正治療で治療した症例

志木 歯医者 矯正 志木 歯医者 矯正

主訴

左下の永久歯がなくて、他の医院でインプラントと言われた。
矯正で治療できないか?

詳細はこちら

デコボコを綺麗な歯並びに治したい!抜歯ワイヤー矯正

志木 歯医者 矯正 志木 歯医者 矯正

主訴

デコボコな歯並びを綺麗に治したい

詳細はこちら

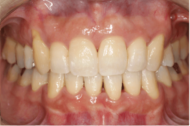
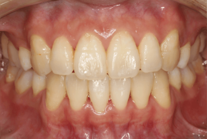
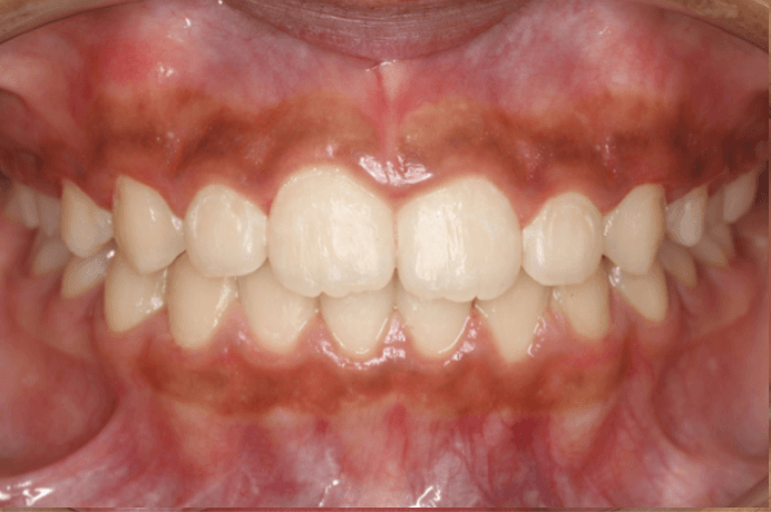
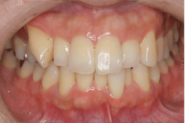
インプラントと矯正治療の融合治療!

志木 歯医者 矯正 志木 歯医者 矯正

主訴

全体的な凸凹を治したい
他の医院で抜歯が必要な歯があると言われている

詳細はこちら

初診「個別」相談へのご案内

当院では、患者様が抱えていらっしゃるお口のお悩みや疑問・不安などにお応えする機会を設けております。どんな事でも構いませんので、私達にお話しして頂けたらと思います。ご興味がある方は下記からお問い合わせください。

  • web予約

電話での問い合わせ

電話

医院の住所

〒352-0001 埼玉県新座市東北2-30-21 TAIRAYA志木店 3F

診療時間

△土曜,日曜診療時間:14:00~18:00
※祝日診療することもあります。詳細はブログをご確認ください。
※午後の最終受付は、一般診療は19時半まで、特殊診療(インプラント治療、矯正治療)は20時半までとなります。

診療時間

△土曜,日曜診療時間:14:00~18:00
※祝日診療することもあります。詳細はブログをご確認ください。
※午後の最終受付は、一般診療は19時半まで、特殊診療(インプラント治療、矯正治療)は20時半までとなります。

このページの先頭に戻る