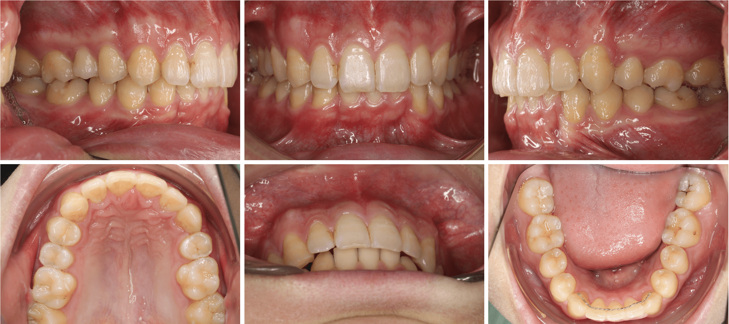
10代 男子 八重歯を治したい矯正治療
- before

- after

治療経過中の写真
| 主訴 | 八重歯が気になる |
|---|---|
| 治療内容 | 上顎左側第一小臼歯、下顎左側側切歯と変則な抜歯を行い、マルチブラケットに配列を行った。 矯正後の保定は上顎クリアリテーナー(マウスピースタイプ)、下顎はフィックスリテーナーを装着し、固定している。 担当医 里 裕太郎 |
| 治療費 | 550,000円 |
| 治療期間 | 1年2ヶ月 |
| リスク・副作用 | 疼痛、知覚過敏、顎関節症、虫歯、歯周病、歯根吸収、歯髄壊死、歯肉退縮、歯の亀裂、ホワイトスポット、ブラックトライアングル、隣在歯根の損傷(アンカースクリューによる)など |


























