


通常の矯正55万円(税込)~
マウスピース矯正44万円(税込)~
(モニター33万円~ 税込)
部分矯正22万円(税込)~



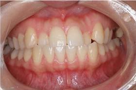
マウスピース矯正装置で矯正した症例になります。
リスクは、治療後にリテーナーをつけないと後戻りしてしまうリスクがあります。


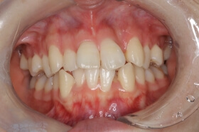
マウスピース矯正装置で矯正した症例になります。
リスクは、治療後にリテーナーをつけないと後戻りしてしまうリスクがあります。


マウスピース矯正装置で矯正した症例になります。
リスクは、治療後にリテーナーをつけないと後戻りしてしまうリスクがあります。


マウスピース矯正装置で矯正した症例になります。
リスクは、治療後にリテーナーをつけないと後戻りしてしまうリスクがあります。


マウスピース矯正装置で矯正した症例になります。
リスクは、治療後にリテーナーをつけないと後戻りしてしまうリスクがあります。


マウスピース矯正装置で矯正した症例になります。
リスクは、治療後にリテーナーをつけないと後戻りしてしまうリスクがあります。


マウスピース矯正装置で矯正した症例になります。
リスクは、治療後にリテーナーをつけないと後戻りしてしまうリスクがあります。


全体的な歯の凸凹を治したいと来院。ホワイトワイヤー+クリアブラケット(70万+税)を利用。
上下第1小臼歯を抜歯し、ニッケルチタンワイヤーにて排列を行う。治療期間2年。


全体的な歯の凸凹を治したいと来院。ホワイトワイヤー+クリアブラケット(70万+税)を利用。
上下第1小臼歯を抜歯し、ニッケルチタンワイヤーにて排列を行う。治療期間2年。


全体的な歯の凸凹を治したいと来院。ホワイトワイヤー+クリアブラケット(70万+税)を利用。
上下第1小臼歯を抜歯し、ニッケルチタンワイヤーにて排列を行う。治療期間2年。


矯正治療においての患者様のニーズは下記のようなものではないでしょうか?
「費用を抑えた矯正」「目立ちにくい・見えにくい矯正」「痛みを抑えた矯正」「部分的な矯正」
それぞれのニーズに合わせた治療を当院では実施しています。
また、矯正治療は費用も期間もかかる治療になりますので、納得されてから治療を開始して頂きたいと思っておりますので、当院では「無料の個別相談」を実施しております。
お気軽にお問い合わせください。
それぞれのニーズに合わせてご紹介させて頂きます。
当院の矯正治療費をご紹介します。
総額55万円(税込)~/これ以上の費用はかかりません(無利息24回分割も可能)

44万円(税込)~(モニター33万円(税込)~)/
月額3,320円~の分割も可能
調整料0円
分割手数料0円

22万円(税込)~/数カ月で治療が終了/
裏側からも対応可能

当院は矯正治療費を抑えていますが、中途半端な治療をするわけではありません。

ではなぜその料金設定にしているのか?
それは、よい治療を多くの方に受けて頂きたいからにほかなりません。
矯正治療は虫歯などの治療と異なり、やらなければならない治療ではありません。
しかし、矯正治療をすることで、口元のコンプレックスから解放され、人生を前向きに歩んでいった患者様を数多く見てきました。このような方を多く見ていると、私達が携わっている「歯科医療の可能性」と「口元で悩まれている方の手助けを少しでもしたい」という想いが強くなってきました。
矯正に興味があるが、二の足を踏んでしまっている患者様に聞いてみると、やはり「費用が高い」という1つの大きな障害がありました。
このようなこともあり、当院では治療に踏み出しやすい料金設定にしております。

マウスピース矯正とは、透明なマウスピースを口にはめ、何度か新しいマウスピースに交換しながら徐々に歯を移動させる矯正治療方法です。種類もいくつか存在しますが、当院では「インビザライン」というシステムを導入しています。
表側矯正や裏側(舌側)矯正と異なり、装置が取り外し式で、目立ちにくいのが特徴的です。しかし、歯の移動量が大きいケース(抜歯を必要とするケース)ではマウスピース矯正単独では限界がある場合があり、そのような場合は一定期間、表側・裏側矯正を併用することもあります。
取り外し可能ですので、食べたい物がなんでも食べられ、食後の歯磨きや装置の洗浄も簡単に行うことができる反面、装置を装着する判断は患者様に一任されるため、装置を付ける時間が短く、つけない期間があった場合は、治療期間が長くなってしまうというデメリットも存在します。

当院では歯の裏側に装置を付ける「裏側矯正(リンガル矯正)」にも対応しています。
皆さんがよくご存知の矯正は「歯の表側」に装置を付けるものだと思います。しかし、裏側矯正は、その名の通り、歯の裏側に矯正装置を付けますので、他の人に気づかれることはありません。画像を見て頂ければ一目瞭然ですね。
矯正治療において治療中の痛み「仕方がないこと」とされてきました。
しかし、当院では「ライトフォース」と呼ばれる理論の元、治療中の痛みを軽減に成功しています。簡単にライトフォースを説明しますと「加える力を弱くする」ことです。どれくらい弱くしているかというと、従来に比較して1/2~1/5になります。
そのため、治療中の痛みの問題はかなり軽減しました。
ここまで読んでいただくと1つの疑問が頭をよぎると思います。
「歯に加える力を弱くすることで歯はしっかり動いてくれるのか…?」
「歯が動くスピードが遅くなり治療期間が長くなるのでは…?」
ごもっともな疑問です。
加える力が強ければ強いほど、歯がしっかり動いてくれ、かつ治療期間も短くなるイメージがあると思います。従来法もこの考え方をベースにしていました。

しかし、この考え方は「間違い」ということが最近の研究では判明しています。
少し専門的なお話になってしまいますが、歯の移動は骨代謝(骨の新陳代謝)によってなされます。代謝が促進されればその分、歯が動くスピードは速くなります。代謝を良くするためには栄養を供給する毛細血管が重要な役割を果たすのですが、従来の矯正ではこの毛細血管の働きを阻害するほどの力を用いることが多かったのです。


当院で実施している治療法・矯正装置はこのライトフォース理論にのっとっておりますので毛細血管の働きを阻害することはありません。そのため、従来法と比べ痛みが軽減されるだけでなく、血の流れが邪魔されないので、本来の骨代謝を促すことができ、歯が動くスピードも速くなるのです。
当院の矯正装置は、すべてこの理論に基づいたものを利用します。
「痛み」が原因で矯正治療に二の足を踏んでしまっている方、一度当院にご相談ください。
納得して頂くまで、詳しくその理由をご説明させて頂きます。
部分矯正とは、その名の通り、部分的に歯を移動させる治療です。
「前歯だけ治療したい」「この部分だけを動かしたい」などのご要望にお応えすることが出来ます。
さて、部分矯正には全部の歯を動かす全体矯正と異なり、下記のようなメリットがあります。
前歯2本だけ、すきっ歯の部分だけ、八重歯だけ、下の歯だけなどご希望に応じて柔軟に対応可能です。いくつか症例をご紹介します。
あくまで「部分的」に歯を動かしますので、その分、全顎矯正と比べ治療期間も短縮されます。本格的な矯正では数年かかるのが通常ですが、部分矯正の治療期間は数ヶ月~1年で終了します。
また、当院では部分矯正を22万円(税込)~でご提供しております。
当院では極力、患者様のご要望に沿った治療を実施いたしますが、歯並びの状態によっては、「部分矯正は難しいですので全体的な矯正をお勧めいたします。」とお伝えすることもございます。まずはお口を拝見しないことには何ともお伝えできませんので、お気軽にご相談くださいませ。相談は無料になっております。
当院の矯正治療は歯科医師に向けた矯正セミナーを多数開催しています院長の監修の元、正確な診断から、さまざまな治療プランをご提案させていただきます。

以前はセファロ(頭部X線規格写真)検査と言って、矯正にはなくてはならないものとされていた検査ですが、最近では歯科用CTの方が重要視されているため、矯正を希望される患者様には必ずCT撮影を行い、骨と歯との位置関係を把握した上で、歯牙移動を行う計画を立てるようにしております。そのことが安心・安全な矯正治療、無理のない矯正治療につながると考えております。
また、表側ワイヤー矯正・裏側ワイヤー矯正、マウスピース矯正と全ての患者様のご希望に対応できるように治療の方法のバリエーションも多く整えています。

多くの矯正専門医院は虫歯治療や抜歯を行っていません。
そのため矯正治療中に虫歯ができてしまったり、親知らずを抜いたりする際は他の一般歯科医院に紹介されることになり、患者様にとってもかなりご不便をかけてしまいます。
当院は、矯正を専門とする歯科医師も一般医も在籍しておりますので、そのようなことにはなりません。また、歯並びを治す方法は矯正治療だけではありません。
症例によってはセラミックの被せものを入れることで歯並びを治すこともできます。
詳細は白い詰め物・被せ物をご参照ください。このようなご提案ができることも総合的に治療を行っている当院の大きな強みだと思います。
マウスピース矯正講師の実績もある歯科医師が、一人ひとりの要望に合わせた治療をご提案いたします。
「費用を抑えたい」「目立ちにくい・見えにくい矯正ってありますか?」「痛みを抑えた矯正をしたい・・・」「前歯だけの部分的な矯正をしたい」など気になることがありましたらお気軽にご相談ください。
当院では、患者様が抱えていらっしゃるお口のお悩みや疑問・不安などにお応えする機会を設けております。どんな事でも構いませんので、私達にお話しして頂けたらと思います。ご興味がある方は下記からお問い合わせください。
| 診療時間 | 月 | 火 | 水 | 木 | 金 | 土 | 日 | 祝 |
|---|---|---|---|---|---|---|---|---|
| 10:00 〜 13:00 | ◯ | ○ | ○ | ○ | ○ | ○ | ○ | ※ |
| 14:30 〜 21:00 | ○ | ○ | ○ | ○ | ○ | △ | △ | ※ |
△土曜,日曜診療時間:14:00~18:00
※祝日診療することもあります。詳細はブログをご確認ください。
※午後の最終受付は、一般診療は19時半まで、特殊診療(インプラント治療、矯正治療)は20時半までとなります。
| 診療時間 | 月 | 火 | 水 | 木 | 金 | 土 | 日 | 祝 |
|---|---|---|---|---|---|---|---|---|
| 10:00 〜 13:00 | ◯ | ○ | ○ | ○ | ○ | ○ | ○ | ※ |
| 14:30 〜 21:00 | ○ | ○ | ○ | ○ | ○ | △ | △ | ※ |
△土曜,日曜診療時間:14:00~18:00
※祝日診療することもあります。詳細はブログをご確認ください。
※午後の最終受付は、一般診療は19時半まで、特殊診療(インプラント治療、矯正治療)は20時半までとなります。


