歯が小さく、隙間がたくさんある患者様 ワイヤー矯正とダイレクトボンディングの融合治療!
- before

- after

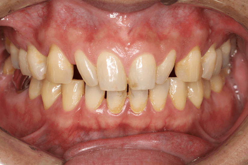
治療経過中の写真
| 主訴 | 隙間がたくさんあるのが気になる。 矯正治療でなんとかしたい。 |
|---|---|
| 治療内容 | 非抜歯、マルチブラケットにて配列し、スペースを閉じた。 また、歯の形態については矯正治療で改善することはできないため、直接レジンを盛り上げて、歯の形態を回復する、ダイレクトボンディングという手法を用いて、審美性の改善を行った。 |
| 治療費 | 657,000円 |
| 治療期間 | 1年4ヶ月 |
| リスク・副作用 | 疼痛、知覚過敏、顎関節症、虫歯、歯周病、歯根吸収、歯髄壊死、歯肉退縮、歯の亀裂、ホワイトスポット、ブラックトライアングル、隣在歯根の損傷(アンカースクリューによる)など |


























