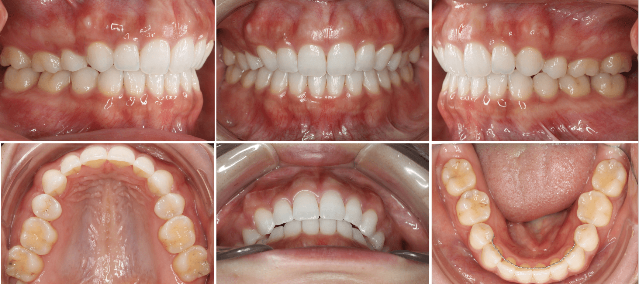
先天欠如歯をインプラント治療ではなく矯正治療で治療した症例
- before

- after

治療経過中の写真
| 主訴 | 左下の永久歯がなくて、他の医院でインプラントと言われた。 矯正で治療できないか? |
|---|---|
| 治療内容 | 上顎両側第一小臼歯、下顎右側第二小臼歯、下顎左側第2乳臼歯を抜歯し、マルチブラケットにて配列を行った。 |
| 治療費 | 770,000円 |
| 治療期間 | 2年5ヶ月 |
| リスク・副作用 | 疼痛、知覚過敏、顎関節症、虫歯、歯周病、歯根吸収、歯髄壊死、歯肉退縮、歯の亀裂、ホワイトスポット、ブラックトライアングル、隣在歯根の損傷(アンカースクリューによる)など |




























