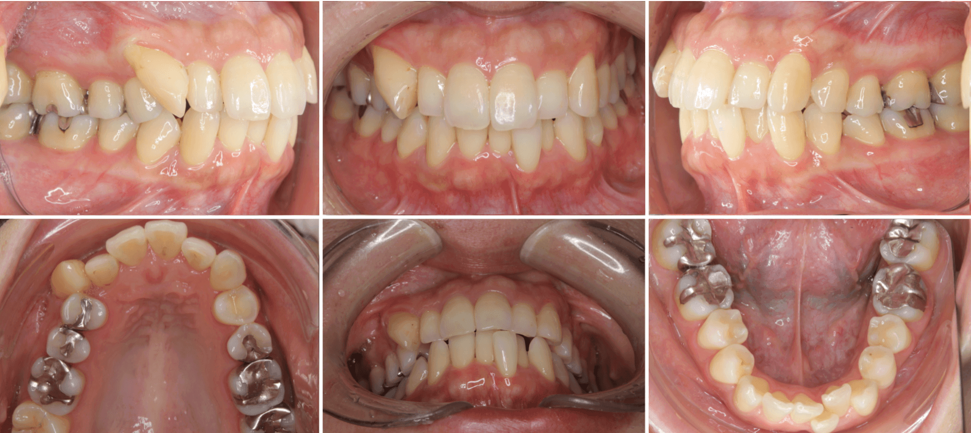
重度の八重歯、でこぼこの矯正治療
- before

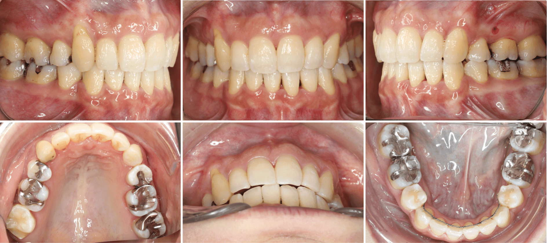
- after

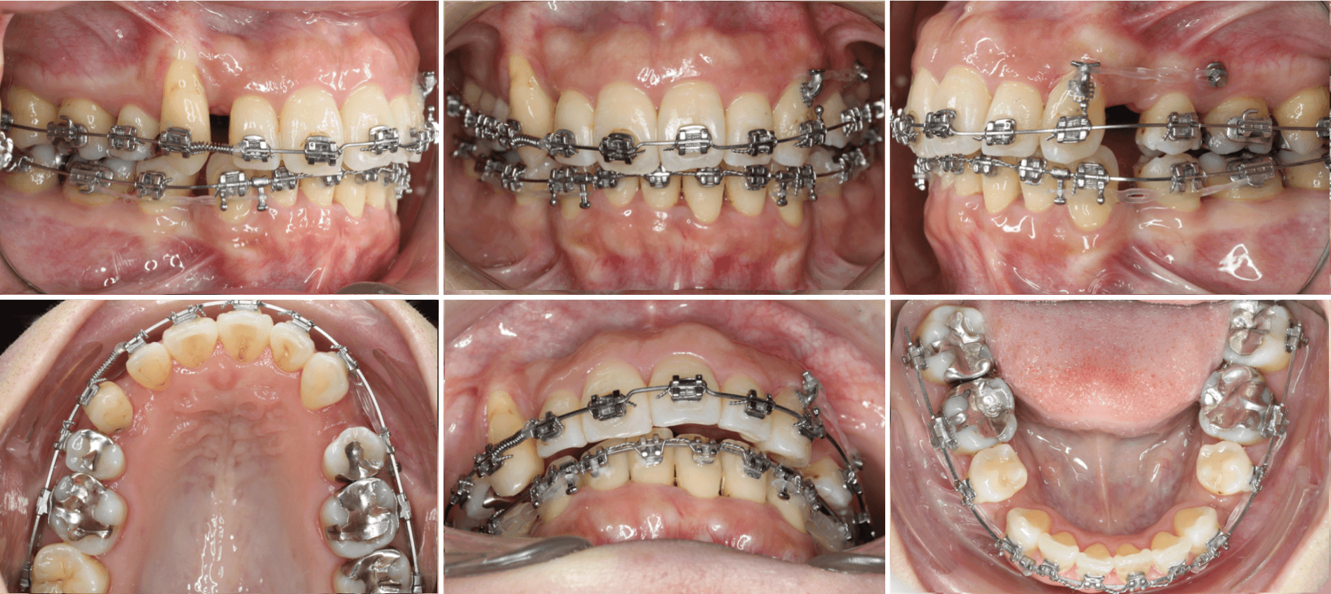
治療経過中の写真
| 主訴 | 八重歯とでこぼこの歯ならびが気になって矯正治療を検討している。 |
|---|---|
| 治療内容 | 上下小臼歯を4本抜歯を行い、マルチブラケットにて排列を行なった。 上顎に加強固定を目的にアンカースクリューを埋入している。 後戻りを防止するため、上顎にはクリアリテーナー、下顎にはフィックスリテーナーを用いて、保定管理を行なっている。 |
| 治療費 | 704,000円 |
| 治療期間 | 2年 |
| リスク・副作用 | 疼痛、知覚過敏、顎関節症、虫歯、歯周病、歯根吸収、歯髄壊死、歯肉退縮、歯の亀裂、ホワイトスポット、ブラックトライアングル、隣在歯根の損傷(アンカースクリューによる)など |


























