埋伏歯を改善するワイヤー矯正治療の症例報告:2年6ヶ月で小臼歯の萌出に成功
2024年11月7日
皆さん、こんにちは!
志木駅チカ・駅ナカの歯医者、志木駅前歯科グループ院長の里です。
今回は埋伏した歯を牽引したワイヤー矯正治療症例のご報告を行います。
埋伏歯のワイヤー矯正治療症例のご紹介

治療のご相談内容
左下の第二小臼歯が萌出しておらず、乳歯が残存していて、どうしたら良いか。
治療の必要性とリスク

レントゲンで確認をしてみました。
左下に第二小臼歯が埋伏して、近心傾斜した状態になっています。
この状態では、今後、一生埋伏してしまうか、違う場所から萌出してくるかと、どちらもまずい状態になります。
この状態を改善するためには、全顎の矯正治療が必要であることを説明したところ、ご納得いただき、矯正治療の開始となりました。
治療方針の決定とセファロ分析

セファロ分析を行います。骨格的に大きな問題はありませんが、上下顎前歯の傾きに問題があり、上下顎前突という状態で、抜歯が必要になります。
今回は上顎両側の第一小臼歯と下顎左側第二乳臼歯、第一小臼歯、右側第一小臼歯の5本を抜歯して、マルチブラケット装置にて矯正治療を計画しました。
埋伏歯はそもそもなぜ起こるのか?
埋伏歯(まいふくし)は、通常なら歯列に並ぶべき歯が顎骨内に埋まった状態を指します。
埋伏歯の原因として、下記の原因が挙げられます。
- 顎の大きさやスペース不足
顎が小さい場合や歯列のスペースが不足している場合、特に親知らず(第三大臼歯)などが生えるスペースがなくなり、歯が正常な位置に出てこれず埋伏することがあります。 - 歯の発育異常
歯が本来の成長方向から外れたり、発育に異常があったりする場合も埋伏歯の原因になります。例えば、歯胚の異常な位置により、斜めや横向きに生えることで埋まってしまうケースです。また、顎の中の病気が原因で歯の萌出が阻害されることがあり、埋伏することがあります。 - 遺伝的要因
埋伏歯には遺伝的な要素も関与しています。親や兄弟に埋伏歯がある場合、同様の問題が発生する可能性が高まります。 - 過剰歯
過剰歯(必要以上の数の歯)が存在する場合、通常の歯が正しい位置に生えるスペースがなくなり、埋伏することがあります。 - 外傷や感染
外傷や歯の萌出(歯が歯ぐきから出ること)を妨げる感染がある場合、歯の発育に悪影響を与え、結果的に歯が埋伏することもあります。 - 乳歯の早期喪失や脱落の遅れ
乳歯が早期に抜けると、その後の永久歯が適切な位置で生えなくなることがあります。また、逆に乳歯が長く残りすぎると、永久歯がその影響で埋伏することもあります。
このように、埋伏歯には様々な原因があります。
今回は、1.顎の大きさやスペース不足と6.乳歯の早期喪失や脱落の遅れが原因になっていると考えられます。

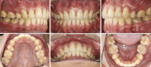
治療の結果

2年6ヶ月で治療が終了しました。
埋まっていた小臼歯もしっかり出てきて、噛み合わせにも関与できました。
今回の治療の概要 905,500円
治療期間 2年6ヶ月
治療回数34回
治療に伴うリスク 歯根吸収、歯肉退縮、歯髄壊死、変色、ブラックトライアングルなど
治療自体は埋伏歯の矯正と難易度が高く、治療期間がかかりました。
難しい矯正治療にも対応しておりますので、ぜひ一度無料矯正相談にお越しください。
新座市・志木市・朝霞市周辺で歯医者をお探しの際や、歯のことでお悩みの方は「志木駅前歯科・矯正歯科」「志木駅南口歯科・矯正歯科」までお気軽にご来院ください。柳瀬川からもお立ち寄り頂けます🦷 ご予約はホームページ、またはお電話にて受け付けております✨
志木駅前歯科グループ
院長 里 裕太郎























