1本歯が足りない、変則抜歯のワイヤー矯正治療!!
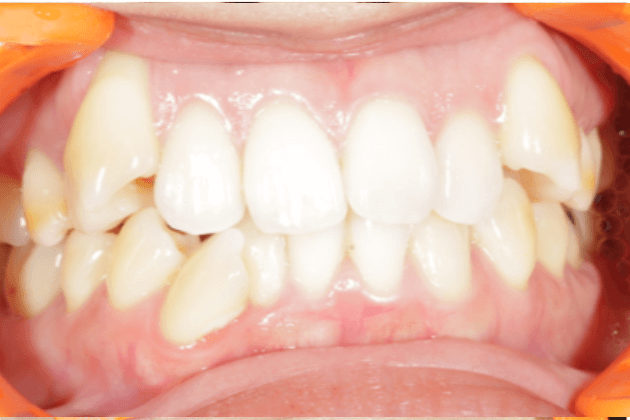
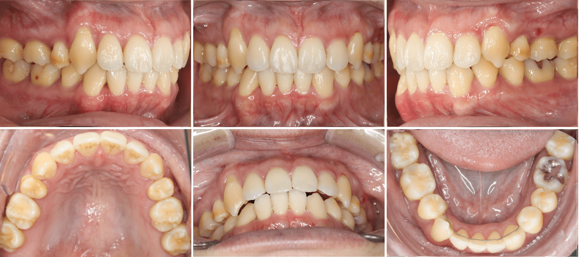
- before

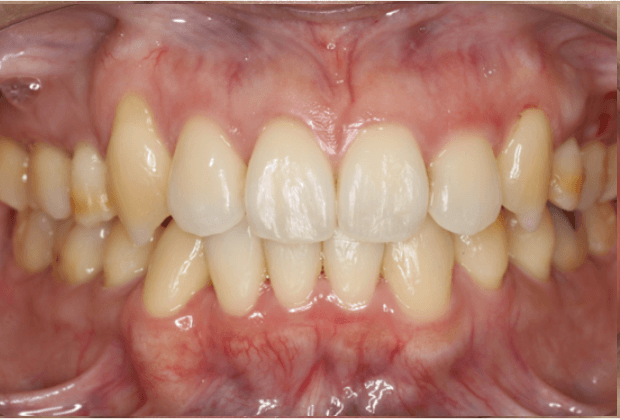
- after

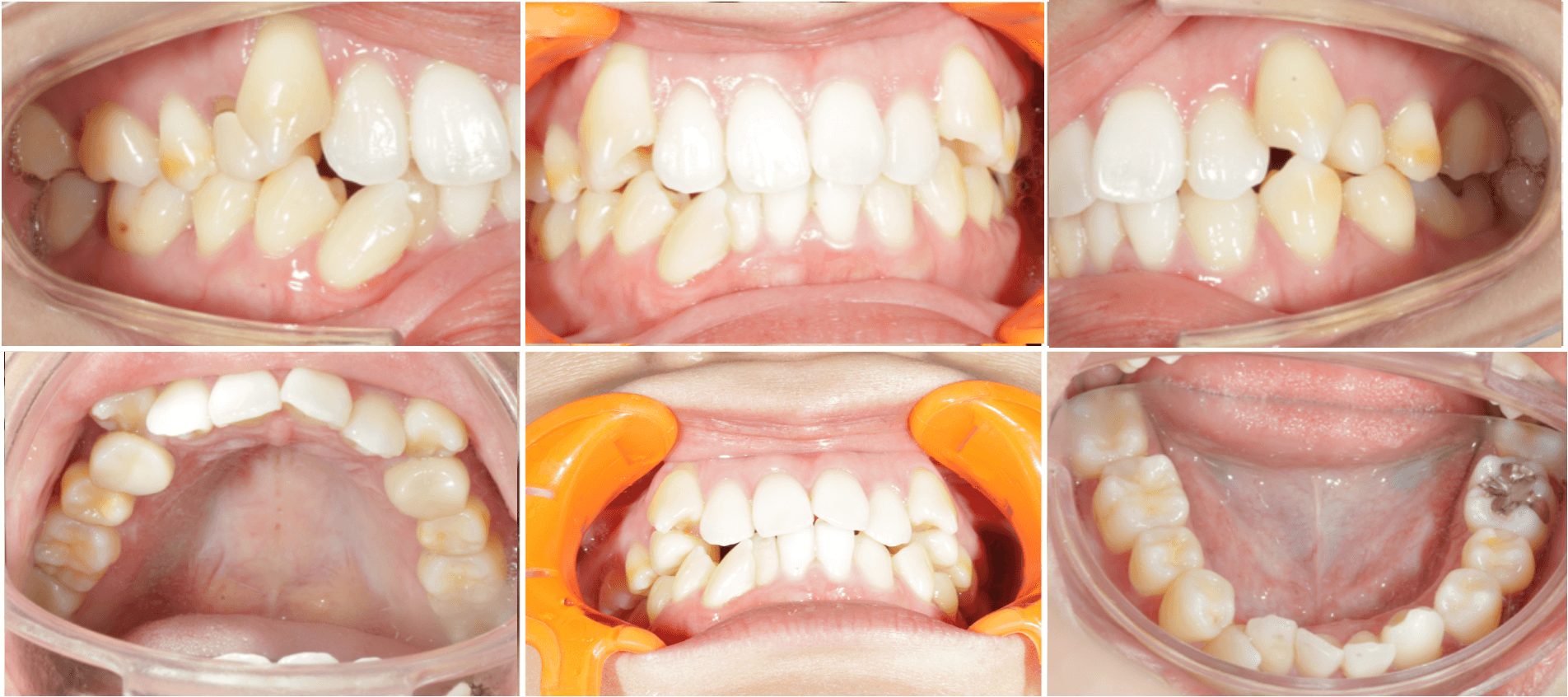
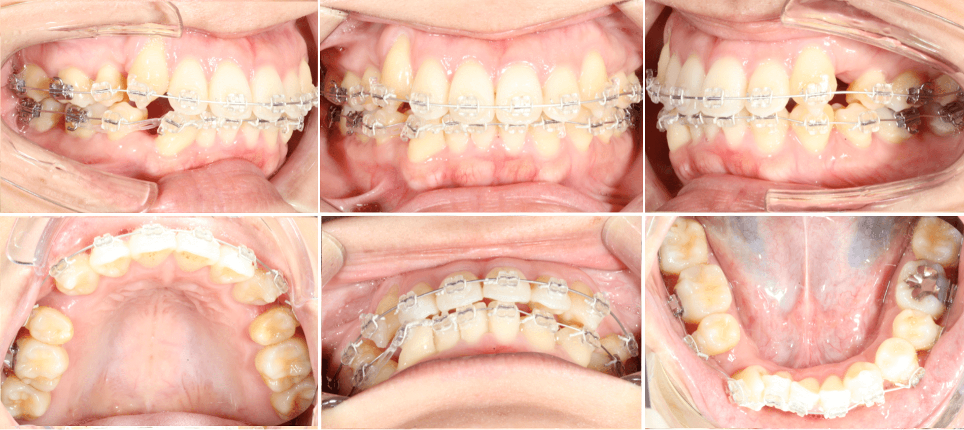
治療経過中の写真
| 主訴 | 八重歯が気になる 歯が少ないと言われた |
|---|---|
| 治療内容 | 上顎両側第一小臼歯、下顎右側第一小臼歯を抜歯し、マルチブラケット装置にて排列を行なった。 |
| 治療費 | 704,000円 |
| 治療期間 | 2年 |
| リスク・副作用 | 疼痛、知覚過敏、顎関節症、虫歯、歯周病、歯根吸収、歯髄壊死、歯肉退縮、歯の亀裂、ホワイトスポット、ブラックトライアングル、隣在歯根の損傷(アンカースクリューによる)など |


























