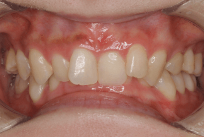
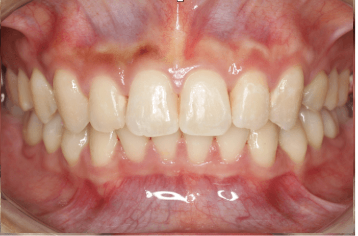
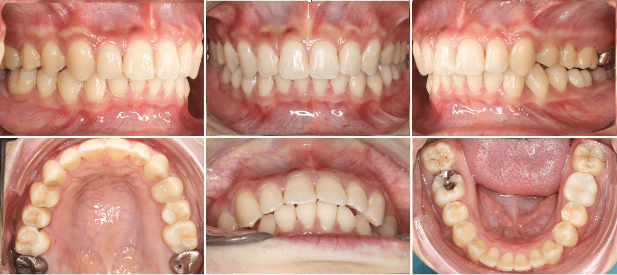
噛み合わせが深すぎる、でこぼこの改善のための矯正治療!
- before

- after

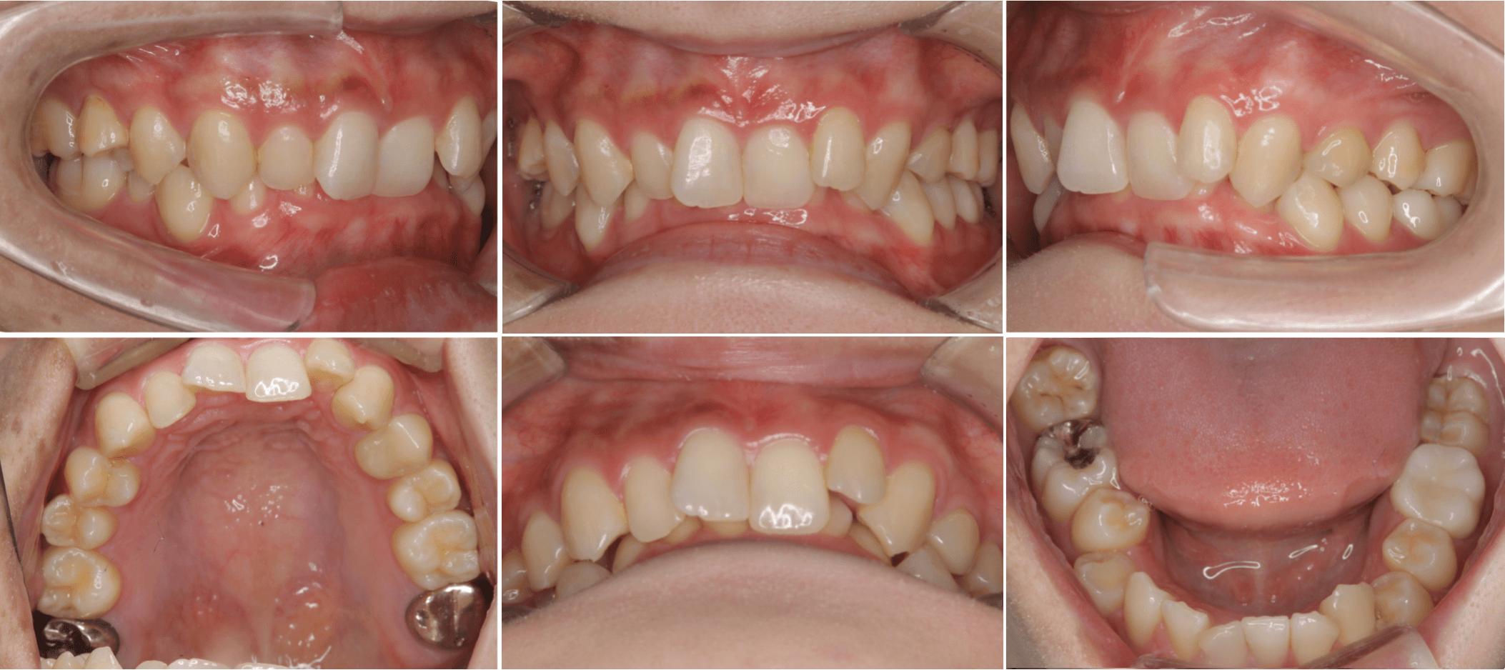
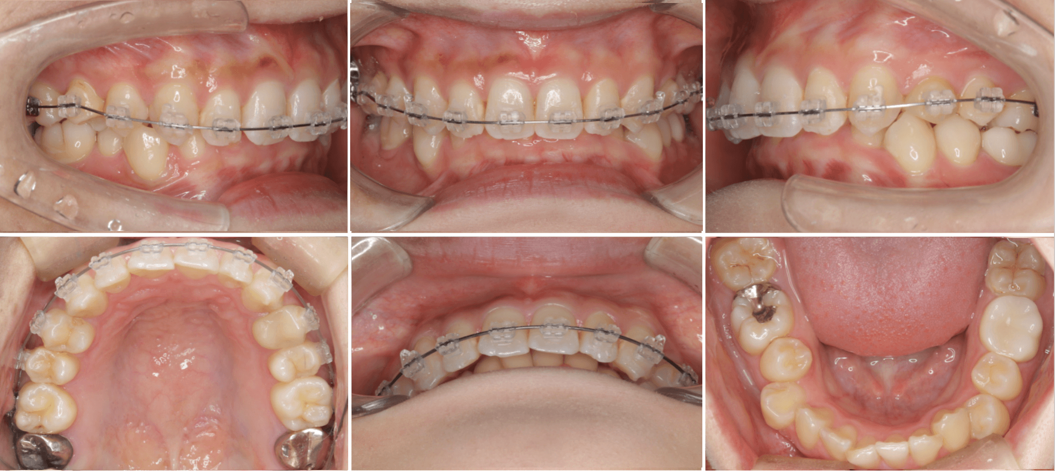
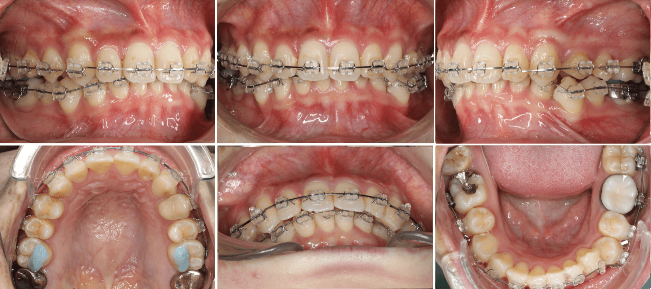
治療経過中の写真
| 主訴 | 噛み合わせが悪いと感じる 凸凹が気になる |
|---|---|
| 治療内容 | 非抜歯、マルチブラケットにて配列を行なった。 クリアリテーナーにて保定管理を行っている。 |
| 治療費 | 657,000円 |
| 治療期間 | 2年 |
| リスク・副作用 | 疼痛、知覚過敏、顎関節症、虫歯、歯周病、歯根吸収、歯髄壊死、歯肉退縮、歯の亀裂、ホワイトスポット、ブラックトライアングル、隣在歯根の損傷(アンカースクリューによる)など |



























