E-ラインの改善!出っ歯の改善のための矯正治療!!
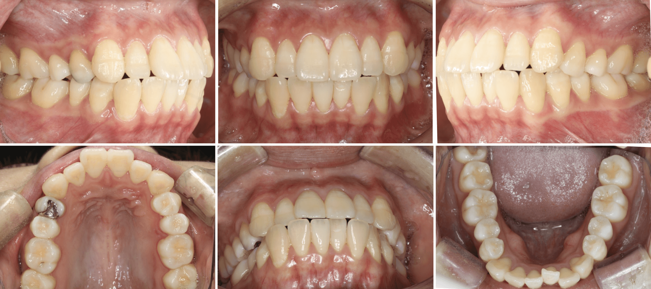
- before

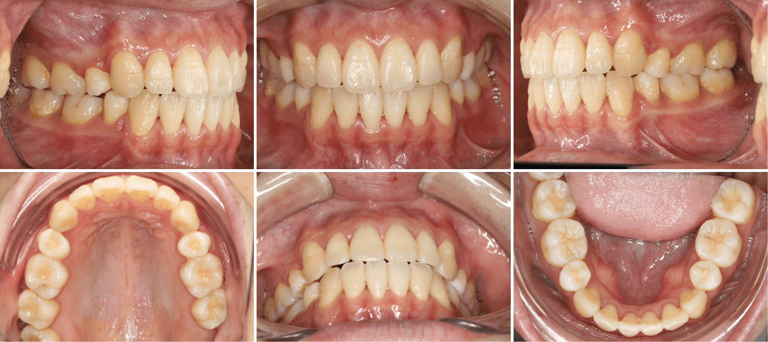
- after

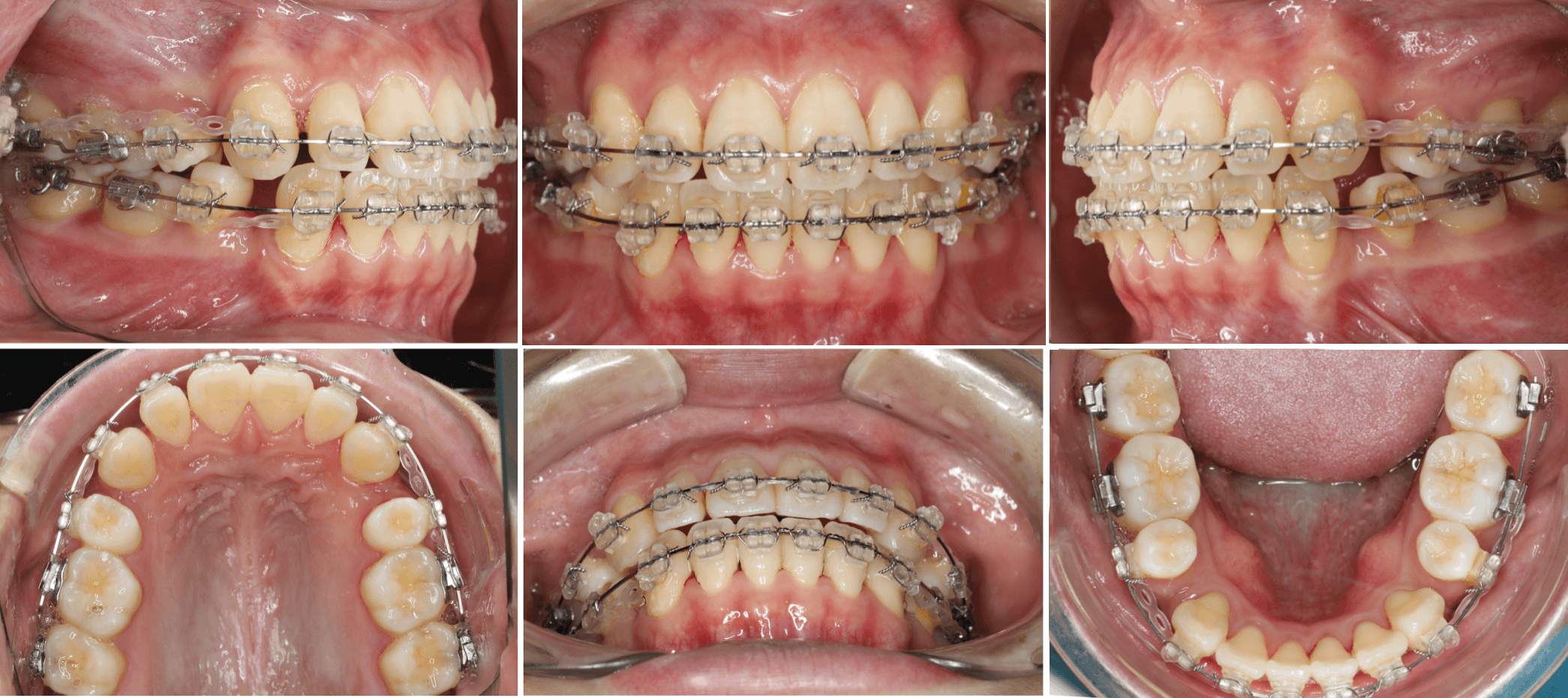
治療経過中の写真
| 主訴 | 出っ歯を治したい。 口元の改善をしたい。 E-ラインを考えた矯正を希望する。 |
|---|---|
| 治療内容 | 上下小臼歯を抜歯し、マルチブラケット装置にて配列を行なった。 |
| 治療費 | 770,000円 |
| 治療期間 | 2年 |
| リスク・副作用 | 疼痛、知覚過敏、顎関節症、虫歯、歯周病、歯根吸収、歯髄壊死、歯肉退縮、歯の亀裂、ホワイトスポット、ブラックトライアングル、隣在歯根の損傷(アンカースクリューによる)など |


























