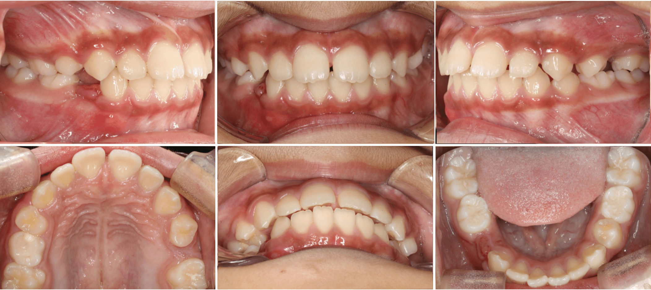
小児矯正 歯が出てこない!回転した歯の矯正治療
- before

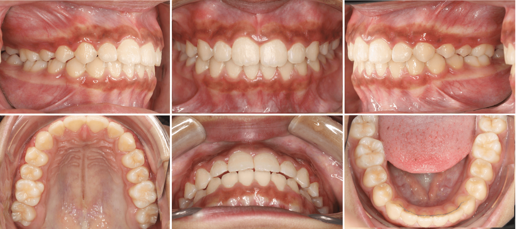
- after

治療経過中の写真
| 主訴 | 歯が生えてこない 曲がったが歯があると学校の歯科健診で指摘された |
|---|---|
| 治療内容 | マルチブラケット装置を用いて、個々の歯の配列と顎間ゴムを使用して、咬合の緊密化を行なった。 担当医 里 裕太郎 |
| 治療費 | 704,000円 |
| 治療期間 | 1年3ヶ月 |
| リスク・副作用 | 疼痛、知覚過敏、顎関節症、虫歯、歯周病、歯根吸収、歯髄壊死、歯肉退縮、歯の亀裂、ホワイトスポット、ブラックトライアングル、隣在歯根の損傷(アンカースクリューによる)など |

























