非抜歯順次的遠心移動でスペースを作り排列した インビザライン矯正症例
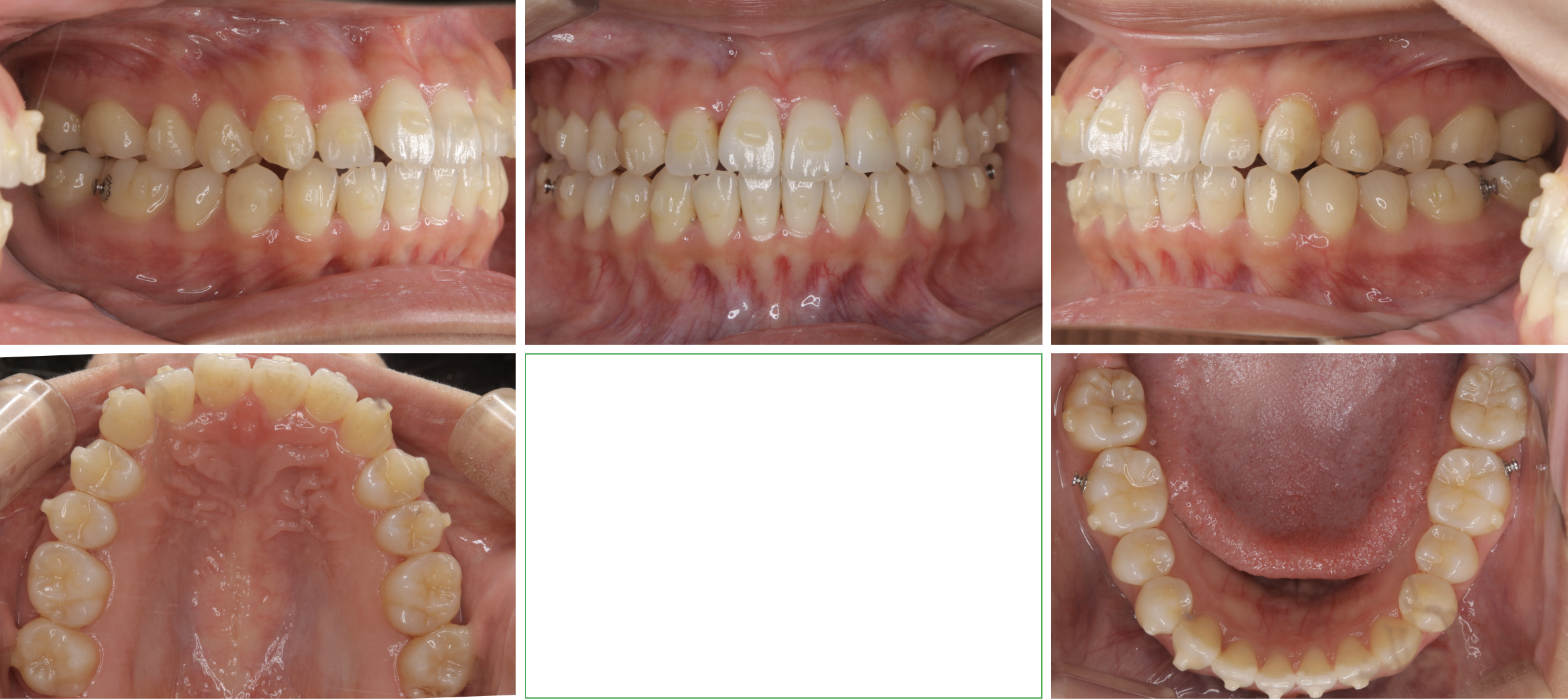
- before

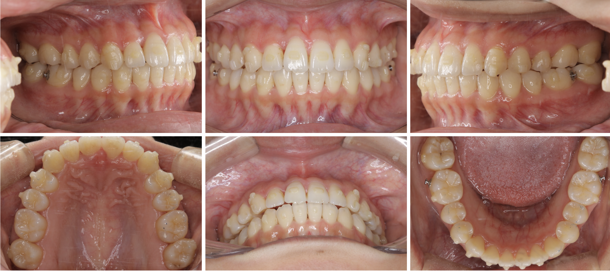
- after

治療経過中の写真
| 主訴 | 前歯のデコボコが気になる 口元の前突感は気にならない 特に右側でものを噛みづらい気がする |
|---|---|
| 治療内容 | インビザライン(マウスピース矯正)を用いて、上顎右側の順次的遠心移動を行い、大臼歯の1級関係を目指して治療を行った。 通常マウスピース矯正は細かい仕上げのため、1回ないしは2回ほどマウスピースを作り替えて治療ゴールにできるだけ近づけていくことが世の中一般的であるが患者様のコンプライアンスがとても良好であったため、再作成をせずに短期間で終了することができた。 まさにアライナーのホールインワンと言えるケースで患者様にもとても喜んで頂けたため、嬉しい限りである。 現在は県外にお引越しをされ半年に1度、経過の確認をさせてさせて頂いているが後戻りもなく安定した状態がキープできている。 担当医 里 裕太郎 |
| 治療費 | 770,000円 |
| 治療期間 | 1年6ヶ月 |
| リスク・副作用 | 疼痛、知覚過敏、顎関節症、虫歯、歯周病、歯根吸収、歯髄壊死、歯肉退縮、歯の亀裂、ホワイトスポット、ブラックトライアングルなど |





























