上下の真ん中がずれている、八重歯を治したい矯正 ワイヤー治療
- before

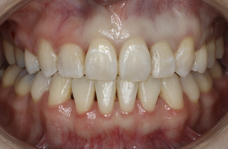
- after

治療経過中の写真
| 主訴 | 上下の真ん中がずれている 八重歯を治したい矯正 ワイヤー治療を希望 |
|---|---|
| 治療内容 | 上顎両側第一小臼歯、下顎両側第二大臼歯を抜歯し、マルチブラケット装置にて排列を行った。 アンカースクリューにて固定限のコントロールを行った。 保定には犬歯間保定装置(Fixリテーナー)とクリアリテーのダブルリテーナーを併用し、矯正後には下顎智歯(親知らず)の抜歯を行った。 担当医 里 裕太郎 |
| 治療費 | 704,000円 |
| 治療期間 | 2年1ヶ月 |
| リスク・副作用 | 疼痛、知覚過敏、顎関節症、虫歯、歯周病、歯根吸収、歯髄壊死、歯肉退縮、歯の亀裂、ホワイトスポット、ブラックトライアングルなど |





























