非抜歯 順次的遠心移動で口元の前突感を軽減させた インビザライン治療
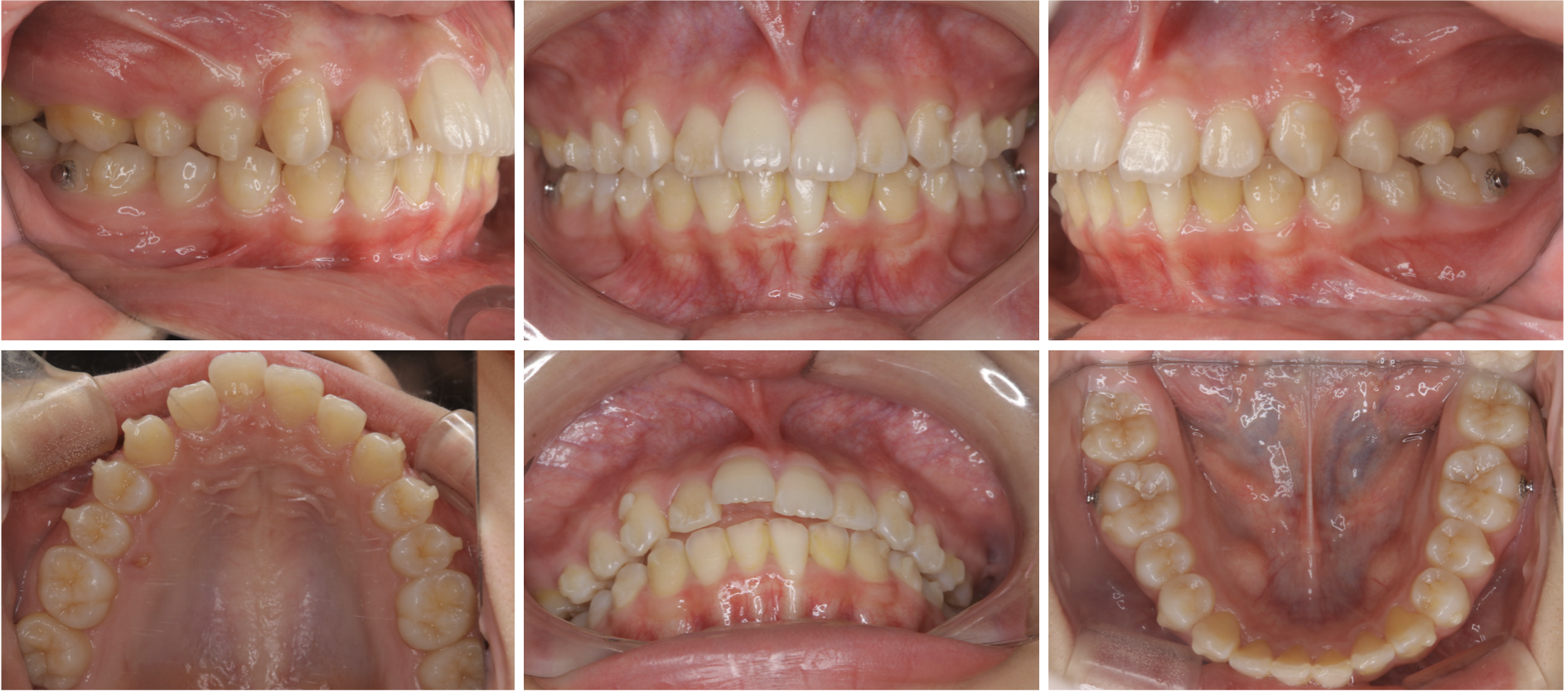
- before

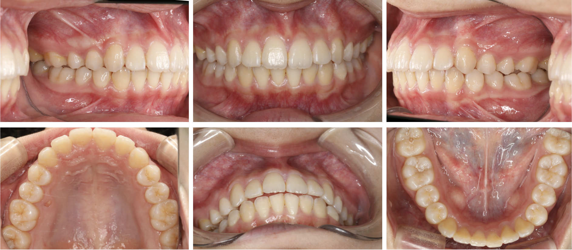
- after

治療経過中の写真
| 主訴 | 前歯が出ているのが気になる 抜歯はできるだけ避けたい マウスピース矯正希望 |
|---|---|
| 治療内容 | 非抜歯にて順次的遠心移動を上顎右側のみ行い1級関係を確立することができた。 常時顎間ゴムを使用してもらった。 仕上がりに大変満足いただけた。 リテーナーはそのままマウスピースタイプのもので現在も保定管理中である。 担当医 里 裕太郎 |
| 治療費 | 770,000円 |
| 治療期間 | 1年6ヶ月 |
| リスク・副作用 | 疼痛、知覚過敏、顎関節症、虫歯、歯周病、歯根吸収、歯髄壊死、歯肉退縮、歯の亀裂、ホワイトスポット、ブラックトライアングル、隣在歯根の損傷(アンカースクリューによる)など |




























