口元の突出感を変えたい 小臼歯4本抜歯 ワイヤー矯正
- before

- after

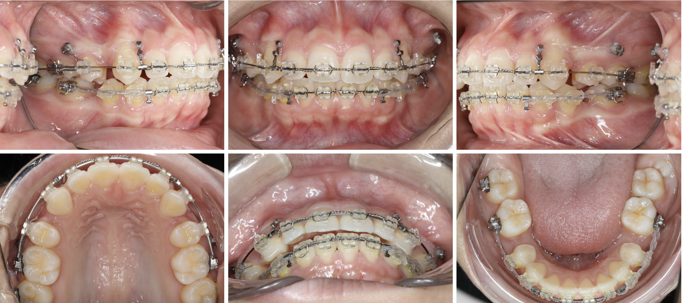
治療経過中の写真
| 主訴 | 口ゴボを変えたい 抜歯してもいいので、綺麗にしてほしい ワイヤー矯正希望 |
|---|---|
| 治療内容 | かなり前突感が強く、上顎両側第一小臼歯、下顎両側第二小臼歯の抜歯を行い、マルチブラケットにて排列を行った。 口元をできるだけ下げるためにアンカースクリューを埋入して、固定源のコントロールを行っている。 治療後は口が自然と閉じられるようになったと大変喜んでいただいた。 リテーナーはフィックスリテーナーとクリアリテーナーの併用で保定管理を行っているところである。 担当医 里 裕太郎 |
| 治療費 | 704,000円 |
| 治療期間 | 1年6ヶ月 |
| リスク・副作用 | 疼痛、知覚過敏、顎関節症、虫歯、歯周病、歯根吸収、歯髄壊死、歯肉退縮、歯の亀裂、ホワイトスポット、ブラックトライアングル、隣在歯根の損傷(アンカースクリューによる)など |





























