お子様のお歯並び改善に役立つ!口腔筋機能療法(MFT)で目指す健康的な口腔環境
2024年10月29日
お子様のお歯並び改善に役立つ!口腔筋機能療法(MFT)で目指す健康的な口腔環境
みなさんこんにちは!
志木駅チカ、駅ナカの歯医者 志木駅前歯科グループです。
今回は当院で力をいれている『MFT』という治療について解説していきます。
MFT(口腔筋機能療法)とは?
みなさんは『MFT』という言葉を知っていますか?
当院に来られる患者様のほとんどが「この話を初めて聞いた」と驚かれています。
口腔筋機能療法『MFT』(Oral Myofunctional Therapy)とは 食べる(噛む)時、飲みこむ時、発音時、呼吸時の舌や口唇の位置、さらには、お口の周り の筋力改善を目的としたトレーニングです。


⇧舌の吸い上げトレーニングの例、簡単にいうとMFTとはお口周りの筋肉の筋トレです。


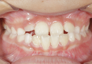
⇧当グループにてMFTと簡単な矯正装置で反対咬合を治した小児矯正の一例
2018年にこちらのトレーニングが一部、口腔機能発達不全症(主に小児が対象、矯正治療と合わせると混合診療となるため、自由診療扱いとなる)と口腔機能低下症(主に高齢者が対象)という病名で保険収載されたことで、歯科では話題になりました。
ということは、国の政策も、このトレーニングを保険に入れたことで、国民の口腔機能の改善、それにより疾病を防ぎたい、予防したいと考えているのでしょう。
歯並びと筋肉の関係
まず大前提となるお話ですが、歯ならびは外側の筋肉(口輪筋、頬筋、咬筋など)と内側の筋肉(舌)の最もバランスの取れた位置に安定して並んでいるということを知っておく必要があります。この範囲のことをニュートラルゾーン(筋圧中立帯)と呼ばれます。
MFTの適応になる状態とは?
お子様の癖や習慣が気になる ママの口癖は・・・
① お口ポッカン開いているよ。閉じようね。
② 姿勢が悪いね。背中真っすぐにしようか。
③ お口開けてクチャクチャ食べるとおかしいよ。お口閉じて食べてね。
これらのお子様の悪い習慣は、歯並びに影響を与えます。
低位舌の影響
前述の習癖を持つお子様の舌の位置は、ほぼ下顎に在ります。
その状態を『低位舌』と呼びます。

⇧舌が下方にあるのが隙間から見えます。こういう状態では、下顎の成長を強く促進、下前歯の前方傾斜が起こって反対咬合を引き起こします。
MFTのトレーニング
舌の正しい位置は上あごです。
舌の先を上の前歯の付け根に置き舌の前方部が上あごに当 たっている状態が本来あるべき舌の位置です。この位置を専門用語ではスポットと呼びます。


⇧スポットにつけるようにトレーニングをしている様子です。
この位置に普段何気ない時に、舌先がついているか大人の方でも、確認してみてください。(意識した状態ではダメですよ)
歯並び、上下顎の骨格に問題を抱える方は、おそらく、舌先がこちらにないと思います。
また癖の改善は早期発見・早期治療が重要で、子供のうちに治す治療を行うと効果的です。
(大人になってから癖の改善は難しいですよね。。。)大人の方も、重度の場合は積極的にMFTを行います。
MFT トレーニングのメリット
以下のようなものがあります。
・正しい舌の位置嚥下の習得等により矯正治療をスムーズにすすめることができる
・矯正治療の効果を維持できる ・スムーズな鼻呼吸の習得(鼻の病気改善後に限る)
・発音、滑舌がよくなる
・正しい機能を身につけることで正しい発育へと導ける
・きれいな食べ方への改善
・表情が豊かになり素敵な笑顔になる 幼児でも行える簡単な練習です。
いつでも、どこでも、だれでもできるトレーニングです。
飲み込むときの癖(異常嚥下癖)に要注意!!
飲み込むときに舌を前歯に押し当てて飲み込んでいませんか?
そうすると、筋肉のバランスが崩れ、内側から歯が押し出されます。そうなるとどうなるか、皆さん想像できますよね?
モノを飲み込むときはそこから舌の奥を持ち上げで奥歯を噛んで口を閉じて飲み込みます。 しかし舌の位置が下にあるお子様は安静時から舌で歯を押していたり、飲み込むときは前に舌を突き出して、モノを飲み込んでいます。
これは幼児型の嚥下とも言われ、人間はお母さんのおっぱいを飲む際に、乳幼児は舌を乳房に押し当てて、吸啜することで、母乳を飲んでいます。これが成長とともに、成人型の嚥下に変化しますが、そのまま残ってしまうと歯並びが悪くなることに大きく影響していきます。
『飲み込む』という行為は『嚥下』と呼ばれますが、1日に人間は嚥下を何回しているでしょうか?
年齢によってばらつきがありますが、500〜1000回、1日に嚥下をしています。
飲み込む毎に1.4Kg の舌の力がどこかしらの歯にかかります。
よって舌の間違った機能が歯の形態に影響を及ぼしてしまいます。

⇧異常嚥下癖の状態。当院患者様の舌を前歯に押し当てて飲み込んでいる瞬間の写真です。
上あごにあるはずに舌が下あごにあるのですから、 上あごのアーチが狭くなって しまいます。

⇧低位舌が原因と思われる、上顎よりも下顎のアーチの幅が狭い成人症例
このように本来は上顎が大きいはずが舌のポジションによって下顎の方が大きくなってしまったと考えられます。


⇧各患者様に合わせたプログラムを組んでMFTを行います。完全に反対咬合だった状態が、装置を使わずにトレーニングのみで前歯が当たるようになってきました。でも、まだ舌が低位にありますので、トレーニングが必要です。
舌の位置による様々な歯ならびの問題
上のあごが小さいと歯もガタガタに。 舌の歯を押していると受け口になりますし、 上の歯を押していると出っ歯になります。 また 上下の間に舌を押し出していると開口 (上下の前歯があたらない) や上下とも前に出てしま います。

⇧舌を前歯で挟む、悪い習慣のため、重度の開咬になってしまった当院患者様の一例
この場合、当グループでは、先にMFTを行なって、習癖の除去ができてから本格的な矯正に移ります。
いきなり矯正装置などつけません。大人でも同じです。
なぜかはもうお分かりですよね?ただ並べるだけ、噛み合わせをよくする矯正を行うだけでは、矯正治療後の歯列の長期安定性に欠けてしまうからです。(すぐに後戻りするということです。)
舌の位置と動きがもたらす影響
舌の位置や動きについては、歯並び以外の機能にも大きく影響を及ぼしています。
・発音や滑舌:舌が正しい位置にないと、舌の筋力が弱まり、発音や滑舌が悪くなることがあります。
・飲み込みやすさ:舌を上顎につけられないため、飲み込みがうまくできず、むせやすくなることも。
・呼吸といびき:舌が本来あるべき位置より低いと気道をふさぐ原因となり、就寝中にいびきをかきやすくなります。
正しい舌の使い方をしないとあまり良いことはなさそうです。
まとめ:MFTトレーニングで筋肉のバランスを整える
MFT トレーニングを継続して行うことで舌をはじめ口腔周囲の筋肉のバランスを整え、癖をなおすことができます。 志木駅前歯科グループでは矯正治療のスムーズな進行と矯正治療後の後戻りを目的として、MFT を積極的に 取り入れています。
お子様の気になる癖や習慣があるようでしたら気軽に当院にご相談ください。

新座市・志木市・朝霞市周辺で歯医者をお探しの際や、歯のことでお悩みの方は「志木駅前歯科・矯正歯科」「志木駅南口歯科・矯正歯科」までお気軽にご来院ください。柳瀬川からもお立ち寄り頂けます🦷 ご予約はホームページ、またはお電話にて受け付けております✨
志木駅前歯科グループ























