後悔しない矯正歯科の選び方|院長が教える5つのポイント
2026年04月29日
こんにちは!志木駅ナカ、駅チカの歯医者 志木駅前歯科グループの院長 里です!
今回は「矯正歯科の選び方」について、患者さまからよくいただくご質問をもとに分かりやすく解説します。矯正治療は期間も費用もかかる大切な医療です。後悔しないためのポイントを押さえておきましょう。
矯正歯科選びが重要な理由
矯正治療は見た目だけでなく、噛み合わせや機能改善にも大きく関わります。また、治療期間は一般的に1〜3年と長期にわたるため、「どこで治療するか」は結果と満足度に直結します。適切な診断と計画がなされないと、後戻りや噛み合わせの不調につながる可能性もあります。

専門性・資格を確認する
まず確認したいのが、矯正治療の経験や専門性です。矯正を専門に行っている歯科医師かどうかは重要なポイントです。症例数が多い医院ほど、さまざまなケースに対応できる傾向があります。
院長里は都内、関西、北海道と全国を矯正専門医として飛び回り各地で矯正治療を行う歯科医師です。また全てのドクター矯正治療に対応でき、365日いつでも矯正治療を行うことができる歯科医院です。
また当院では矯正治療だけで3000症例(現在治療中の患者様を含む)の圧倒的な実績を誇ります。
承認頂いた多くのケースをホームページ内(症例集)にも掲載しております。ぜひご参照ください。

カウンセリングの丁寧さを見る
良い矯正歯科は、初診カウンセリングがとても丁寧です。
・なぜその治療方法なのか
なぜ抜歯が必要?なぜワイヤー矯正をお勧めされるの?マウスピースでもほんとに治るの?こういう疑問には全て矯正症例カタログをお見せすることで解決します。
百聞は一見にしかずとはまさにこのことです。

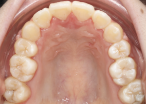
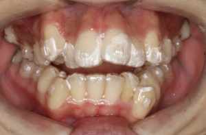
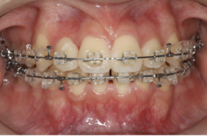
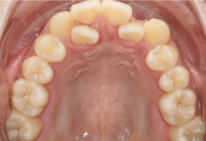
例えば、でこぼこが大きくどうしても抜歯をしないと並びきれない患者様の例です。
矯正症例カタログから似ている症例をお見せして、治療のイメージしてもらいやすくなります。
・期間や費用
・リスクやデメリット



こちら当院で無料矯正相談でお渡ししているパンフレットです。わかりやすくまとめております。
これらをしっかり説明してくれるかを確認しましょう。「質問しやすい雰囲気か」も大切な判断基準です。
治療方法の選択肢があるか
矯正治療には、ワイヤー矯正やマウスピース矯正など複数の方法があります。ひとつの方法だけを強く勧めるのではなく、患者さまの状態や希望に応じて複数の選択肢を提示してくれる医院が望ましいです。
当院では志木駅周辺では珍しい外科矯正、リンガル矯正まですべて対応した地域最大規模の総合歯科医院です。
そのため、全ての治療が当院にて完結できる仕組みを整えています。ここまでできるのは志木駅前歯科グループにしかない強みです。これにより細部までこだわった矯正治療が可能だと考えております。


通いやすさも大切なポイント
矯正治療は定期的な通院が必要です。
・駅から近い
・予約が取りやすい(夜21時まで、土日祝も診療)
・転勤時の対応がある
など、ライフスタイルに合った通いやすさも重要です。
口コミや症例をチェックする
実際に通った方の口コミや、症例写真も参考になります。ただし、口コミはあくまで一部の意見なので、最終的にはご自身でカウンセリングを受けて判断することが大切です。
まとめ
矯正歯科選びで大切なのは、「専門性」「説明の丁寧さ」「選択肢」「通いやすさ」のバランスです。見た目の改善だけでなく、長期的に健康な口腔環境を維持するためにも、信頼できる医院を選びましょう。
当院でも無料カウンセリングを行っておりますので、気になることがあればお気軽にご相談ください。
参考文献
- Proffit WR, Fields HW, Sarver DM. Contemporary Orthodontics.
- 日本矯正歯科学会「矯正歯科治療のガイドライン」
- Littlewood SJ et al. Retention and relapse in orthodontics. Journal of Orthodontics.

記事監修 志木駅前歯科グループ 院長 里 裕太郎























