【ワイヤー矯正- 症例紹介】1年で改善する「すきっ歯(正中離開)」の矯正治療
2026年04月25日
こんにちは。志木駅前歯科グループ院長の里です。
当院の症例実績をご紹介します。
今回は、多くの方が悩まれている「すきっ歯(正中離開)」の治療です。
■ 患者様の主訴(もっとも気になるポイント):前歯の隙間が気になる
今回の患者様は、「笑った時に前歯の隙間が目立つのが長年の悩み」ということで来院されました。
隙間がある状態(正中離開)は、見た目の印象だけでなく、発音の漏れや食べ物が挟まりやすいといった機能的な問題も引き起こします。

■ 治療の概要
-
お悩み: 正中離開(前歯の隙間)
-
治療期間: 1年
-
治療方針: 上下の歯列のバランスを整えながら、隙間を中央に寄せて閉鎖しました。ただ隙間を埋めるだけでなく、噛み合わせの高さや左右の対称性を考慮し、機能的で美しいスマイルラインを目指して矯正治療を行いました。
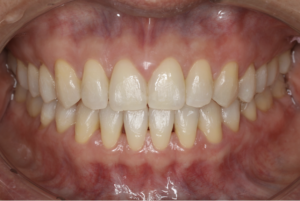
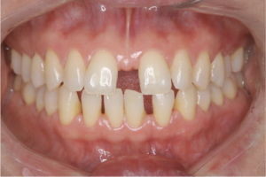
■ ビフォーアフターの比較
| 治療前(Before) | 治療後(After) | |
| 口元の印象 | 周囲の人から前歯の隙間に視線がいきやすい状態。 | 隙間が完全に閉じ、均整のとれた口元に。 |
| 歯並びの状態 | 中央だけでなく全体的にわずかな隙間(空隙歯列)。 | 歯が隙間なく並び、アーチ、機能的な噛み合わせが整いました。 |
| 笑顔の自信 | 隙間を隠すような控えめな笑い方。 | 自信を持って思い切り笑える歯並びへ劇的に変化。 |
■ 院長里からのコメント
1年という期間で、ここまで劇的に印象を変えることができました。
アフターの写真(下段)をご覧いただくと、歯の隙間がなくなったことで、顔全体の印象がより明るく、洗練されたのがお分かりいただけるかと思います。
「自分の隙間も治るのかな?」「期間はどのくらいかかる?」と不安な方も、まずは一度無料矯正相談にお越しください。歯並びでお悩みの皆さまに最適な治療プランをご提案いたします。

【矯正相談 受付中】
スーパーTAIRAYA3F 駅チカの歯医者の矯正相談のご予約はこちら→https://dental-apo.jp/net/55f456f9/#select
志木駅内 駅ナカの歯医者の矯正相談のご予約はこちら→https://dental-apo.jp/net/03d4776c/#select
見た目の美しさはもちろん、一生モノの「噛み合わせ」をデザインします。志木駅周辺で矯正治療をお考えの方は志木駅前歯科グループにお任せください。
圧倒的口元美人を目指して、こだわった矯正治療をご提供します。
※ご注意: 矯正治療の効果には個人差があります。まずは精密検査による診断が必要です。

記事監修 志木駅前歯科グループ 院長 里 裕太郎























