


ハーフリンガル110万円(税込)~
フルリンガル132万円(税込)


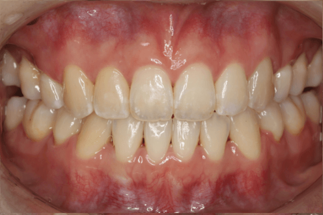
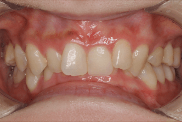
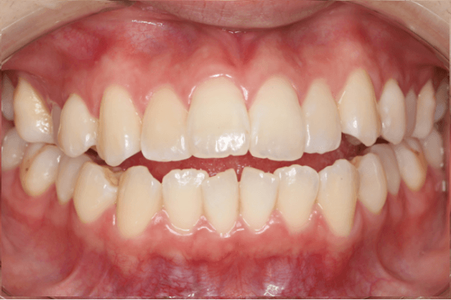
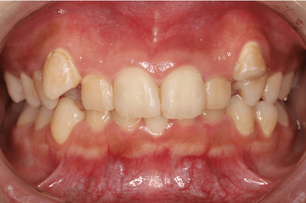
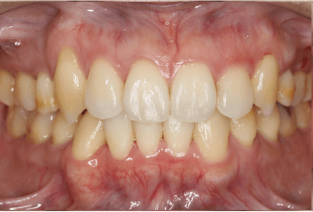
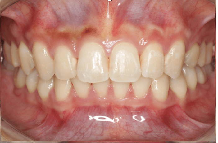
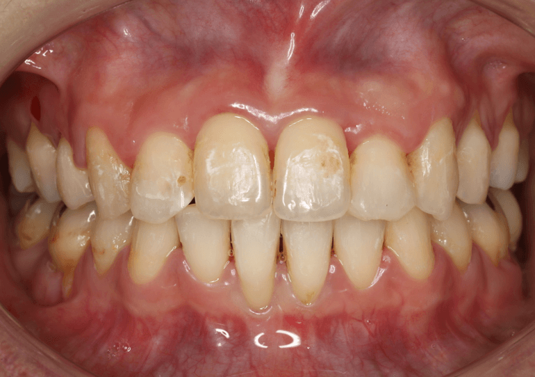
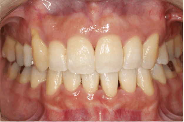
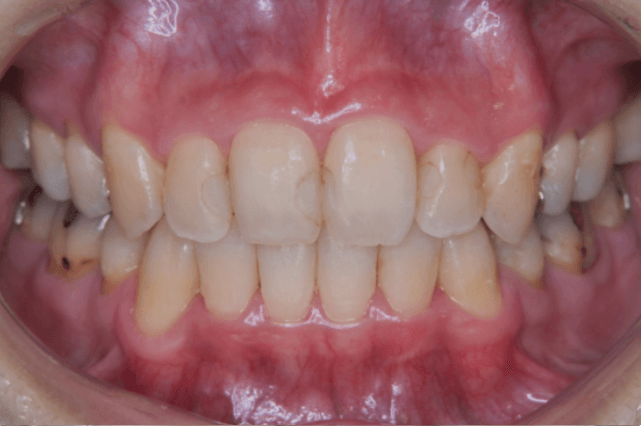
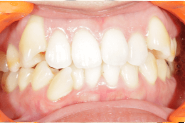
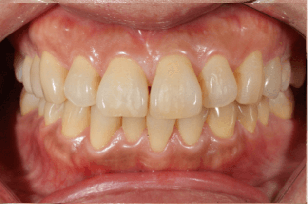
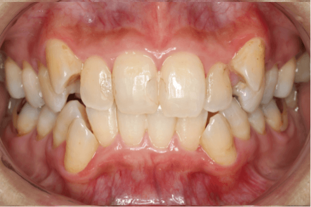
リンガル矯正(裏側矯正)は、歯の裏側に矯正装置を装着するため、外からはほとんど見えず、目立ちにくいのが特徴です。人前に出る機会が多い方や、矯正治療を周囲に知られたくない方に適しています。 リンガル矯正(裏側矯正)は、ラビアル矯正(表側矯正)と同様の矯正効果があり、歯をしっかりと動かす力を備えているため、仕上がりも美しく高い精度が特徴です。 ただし、装置の装着や調整が複雑で、高度な技術と時間を要するため、歯科医師の技術や経験が仕上がりに大きく影響します。

リンガル矯正(裏側矯正)は高度な技術が求められるため、対応できるクリニックが限られています。当院では歯科医師向けのセミナーなども行い、技術や知識、実績が豊富なリンガル矯正の専門家が在籍しており治療を行います。一人ひとりの歯並びや噛み合わせを精密に分析し、最適な治療計画を提案することで、美しく機能的な歯並びへと導きます。また、装置の違和感を最小限に抑える工夫を施し、治療期間中の快適さにも配慮しています。目立たずに歯並びを整えたい方は、ぜひ当院にご相談ください。

リンガル矯正には「フルリンガル矯正」と「ハーフリンガル矯正」の2種類があります。フルリンガル矯正は上下の歯の裏側に装置を装着する方法で、矯正装置が見えないため、審美性に優れています。一方、ハーフリンガル矯正は上の歯のみ裏側に装置を付け、下の歯は表側に装着する方法で、費用を抑えつつ目立ちにくい矯正が可能です。
リンガル矯正は歯の裏側に装置を装着するため、矯正していることが外から見えません。仕事や学校で人前に出る機会が多い方でも、見た目を気にせず治療を続けられます。特に接客業や営業職など、第一印象が重要な職種の方にとって大きなメリットとなります。一般的なワイヤー矯正に比べて審美性が高く、矯正中でも自然な笑顔を保つことができます。
リンガル矯正は歯の裏側に装置を取り付けるため、歯を後方へ引っ張る力がかかりやすく、前歯の後退がスムーズに進みます。特に出っ歯(上顎前突)の治療に適しており、口元の突出感を改善しやすい点が特徴です。通常の表側矯正よりも前歯のコントロールがしやすく、美しい歯並びとバランスの取れた口元を実現しやすい治療法です。
舌で前歯を押してしまう癖があると、歯並びに悪影響を及ぼすことがあります。リンガル矯正では装置が舌側にあるため、自然と舌の動きを意識しやすくなり、舌癖の改善につながります。矯正治療と同時に正しい舌の使い方を身につけることで、矯正後の後戻りを防ぎ、歯並びを長く維持することができます。発音への影響はありますが、慣れると違和感は少なくなります。
リンガル矯正は装置が歯の裏側にあるため、唾液がよく循環し、虫歯になりにくい環境を保ちやすい特徴があります。唾液には自浄作用があり、食べカスやプラークが自然に洗い流されるため、表側矯正よりも口腔内を清潔に保ちやすくなります。また、矯正装置が目立たないため、歯磨きやケアに意識を向けやすく、より丁寧な口腔ケアを心がけることができます。
表側矯正では、ワイヤーに食べ物が引っかかることで見た目が気になることがありますが、リンガル矯正なら装置が裏側にあるため、食事後も外見を気にせずに過ごせます。特に人と食事をする機会が多い方にとっては、大きなメリットです。食べ物が詰まることはありますが、鏡を見なくてもケアしやすく、ストレスを感じにくい点が特徴です。

口腔内スキャナー「iTero(アイテロ)」を使用することで、従来のような粘土のような印象材を使った不快な歯型取りが不要になります。専用のスキャナーで口腔内を短時間で撮影し、精密な3Dデータを取得できるため、嘔吐反射が強い方や型取りが苦手な方でも快適に治療を受けられます。また、データは即座にデジタル処理されるため、より正確でスムーズな治療計画が可能になります。
矯正治療において治療中の痛み「仕方がないこと」とされてきました。
しかし、当院では「ライトフォース」と呼ばれる理論の元、治療中の痛みを軽減に成功しています。簡単にライトフォースを説明しますと「加える力を弱くする」ことです。どれくらい弱くしているかというと、従来に比較して1/2~1/5になります。
そのため、治療中の痛みの問題はかなり軽減しました。
ここまで読んでいただくと1つの疑問が頭をよぎると思います。
「歯に加える力を弱くすることで歯はしっかり動いてくれるのか…?」
「歯が動くスピードが遅くなり治療期間が長くなるのでは…?」
ごもっともな疑問です。
加える力が強ければ強いほど、歯がしっかり動いてくれ、かつ治療期間も短くなるイメージがあると思います。従来法もこの考え方をベースにしていました。

しかし、この考え方は「間違い」ということが最近の研究では判明しています。
少し専門的なお話になってしまいますが、歯の移動は骨代謝(骨の新陳代謝)によってなされます。代謝が促進されればその分、歯が動くスピードは速くなります。代謝を良くするためには栄養を供給する毛細血管が重要な役割を果たすのですが、従来の矯正ではこの毛細血管の働きを阻害するほどの力を用いることが多かったのです。


当院で実施している治療法・矯正装置はこのライトフォース理論にのっとっておりますので毛細血管の働きを阻害することはありません。そのため、従来法と比べ痛みが軽減されるだけでなく、血の流れが邪魔されないので、本来の骨代謝を促すことができ、歯が動くスピードも速くなるのです。
当院の矯正装置は、すべてこの理論に基づいたものを利用します。
「痛み」が原因で矯正治療に二の足を踏んでしまっている方、一度当院にご相談ください。
納得して頂くまで、詳しくその理由をご説明させて頂きます。
当院の矯正治療は歯科医師に向けた矯正セミナーを多数開催しています院長の監修の元、正確な診断から、さまざまな治療プランをご提案させていただきます。

以前はセファロ(頭部X線規格写真)検査と言って、矯正にはなくてはならないものとされていた検査ですが、最近では歯科用CTの方が重要視されているため、矯正を希望される患者様には必ずCT撮影を行い、骨と歯との位置関係を把握した上で、歯牙移動を行う計画を立てるようにしております。そのことが安心・安全な矯正治療、無理のない矯正治療につながると考えております。
また、表側ワイヤー矯正・裏側ワイヤー矯正、マウスピース矯正と全ての患者様のご希望に対応できるように治療の方法のバリエーションも多く整えています。

多くの矯正専門医院は虫歯治療や抜歯を行っていません。
そのため矯正治療中に虫歯ができてしまったり、親知らずを抜いたりする際は他の一般歯科医院に紹介されることになり、患者様にとってもかなりご不便をかけてしまいます。
当院は、矯正を専門とする歯科医師も一般医も在籍しておりますので、そのようなことにはなりません。また、歯並びを治す方法は矯正治療だけではありません。
症例によってはセラミックの被せものを入れることで歯並びを治すこともできます。
詳細は白い詰め物・被せ物をご参照ください。このようなご提案ができることも総合的に治療を行っている当院の大きな強みだと思います。
マウスピース矯正講師の実績もある歯科医師が、一人ひとりの要望に合わせた治療をご提案いたします。
「費用を抑えたい」「目立ちにくい・見えにくい矯正ってありますか?」「痛みを抑えた矯正をしたい・・・」「前歯だけの部分的な矯正をしたい」など気になることがありましたらお気軽にご相談ください。
当院では、患者様が抱えていらっしゃるお口のお悩みや疑問・不安などにお応えする機会を設けております。どんな事でも構いませんので、私達にお話しして頂けたらと思います。ご興味がある方は下記からお問い合わせください。
| 診療時間 | 月 | 火 | 水 | 木 | 金 | 土 | 日 | 祝 |
|---|---|---|---|---|---|---|---|---|
| 10:00 〜 13:00 | ◯ | ○ | ○ | ○ | ○ | ○ | ○ | ※ |
| 14:30 〜 21:00 | ○ | ○ | ○ | ○ | ○ | △ | △ | ※ |
△土曜,日曜診療時間:14:00~18:00
※祝日診療することもあります。詳細はブログをご確認ください。
※午後の最終受付は、一般診療は19時半まで、特殊診療(インプラント治療、矯正治療)は20時半までとなります。
| 診療時間 | 月 | 火 | 水 | 木 | 金 | 土 | 日 | 祝 |
|---|---|---|---|---|---|---|---|---|
| 10:00 〜 13:00 | ◯ | ○ | ○ | ○ | ○ | ○ | ○ | ※ |
| 14:30 〜 21:00 | ○ | ○ | ○ | ○ | ○ | △ | △ | ※ |
△土曜,日曜診療時間:14:00~18:00
※祝日診療することもあります。詳細はブログをご確認ください。
※午後の最終受付は、一般診療は19時半まで、特殊診療(インプラント治療、矯正治療)は20時半までとなります。


