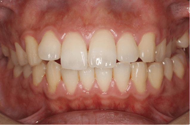
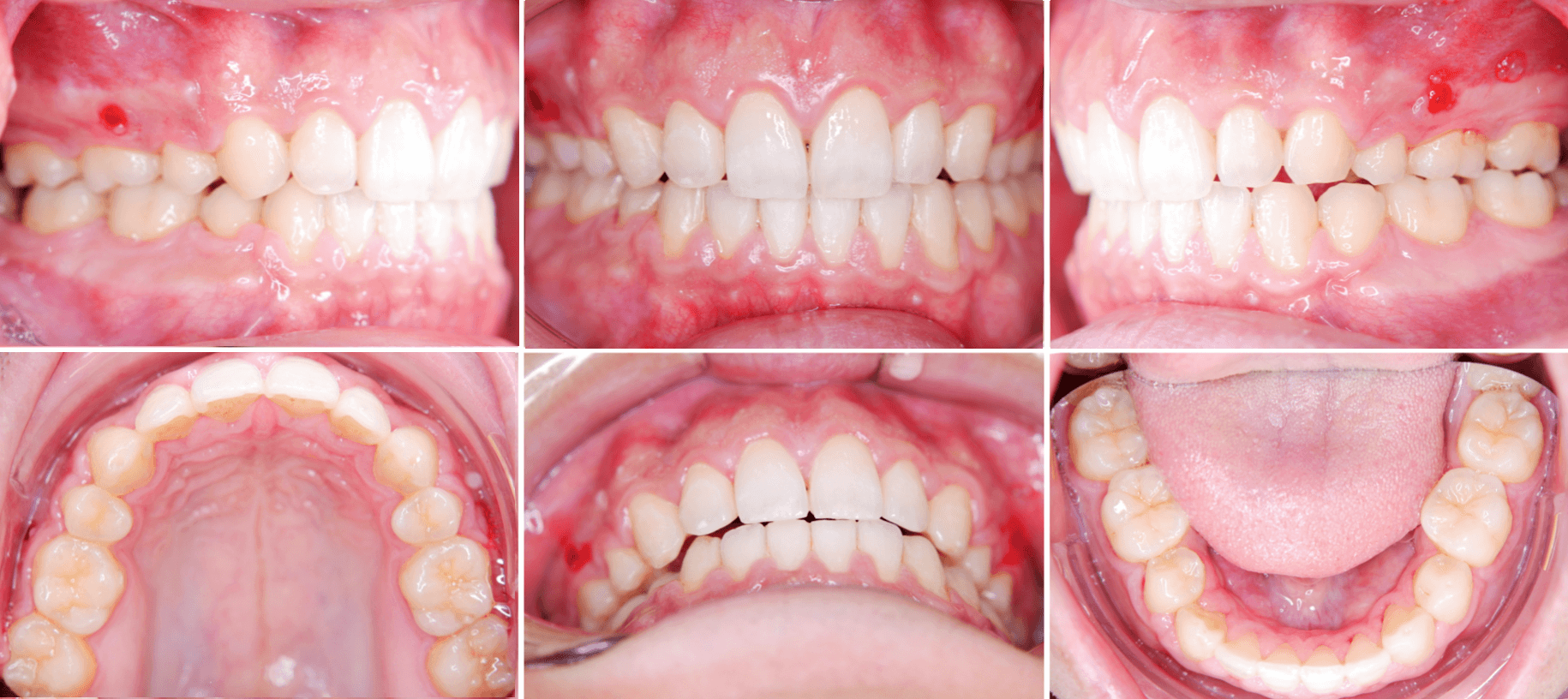
片側性のクロスバイトの改善!!骨格性の顎のズレを歯列矯正にて改善した症例
- before

- after

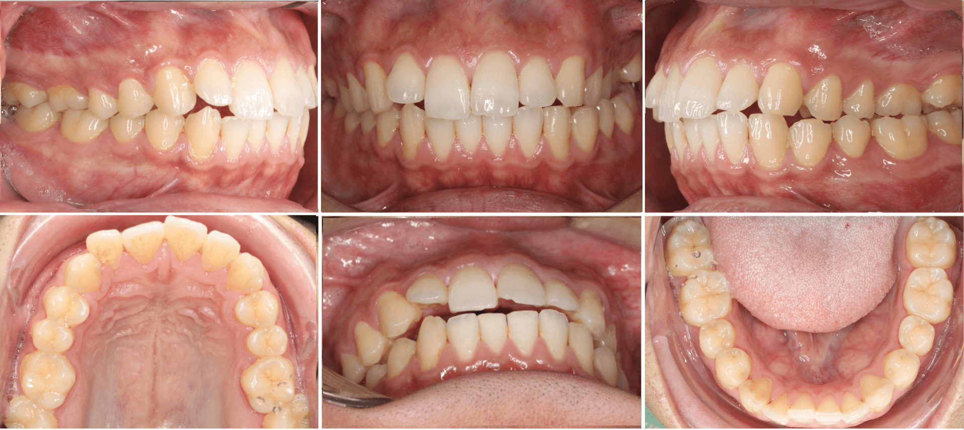
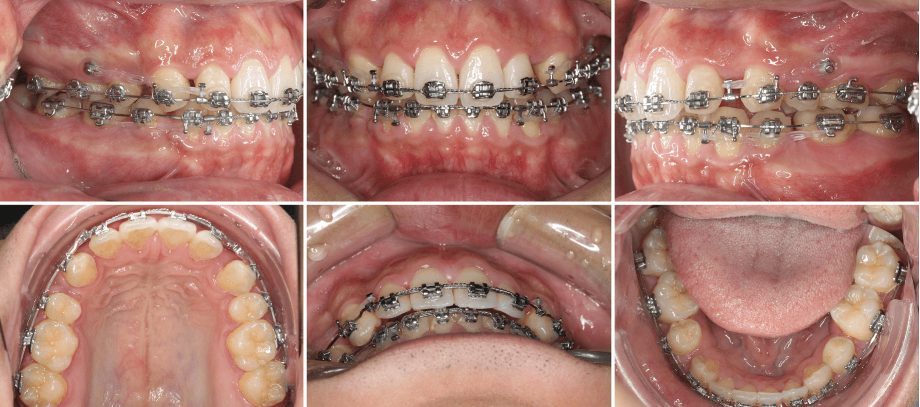
治療経過中の写真
| 主訴 | 歯の真ん中がずれているのを改善したい。 口元を引っ込めたい。 |
|---|---|
| 治療内容 | 上下両側小臼歯を抜歯を行い、マルチブラケットにて排列を行なった。 アンカースクリューを用いて、加強固定を行なっている。 担当医 里 裕太郎 |
| 治療費 | 806,000円 |
| 治療期間 | 2年 |
| リスク・副作用 | 疼痛、知覚過敏、顎関節症、虫歯、歯周病、歯根吸収、歯髄壊死、歯肉退縮、歯の亀裂、ホワイトスポット、ブラックトライアングル、隣在歯根の損傷(アンカースクリューによる)など |


























