下の前歯のガタガタが気になる。歯を抜かないワイヤー矯正症例!
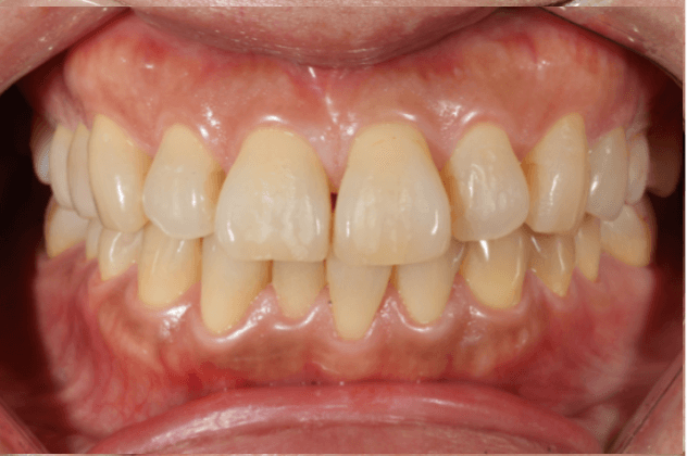
- before

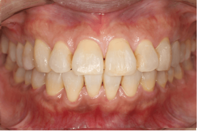
- after

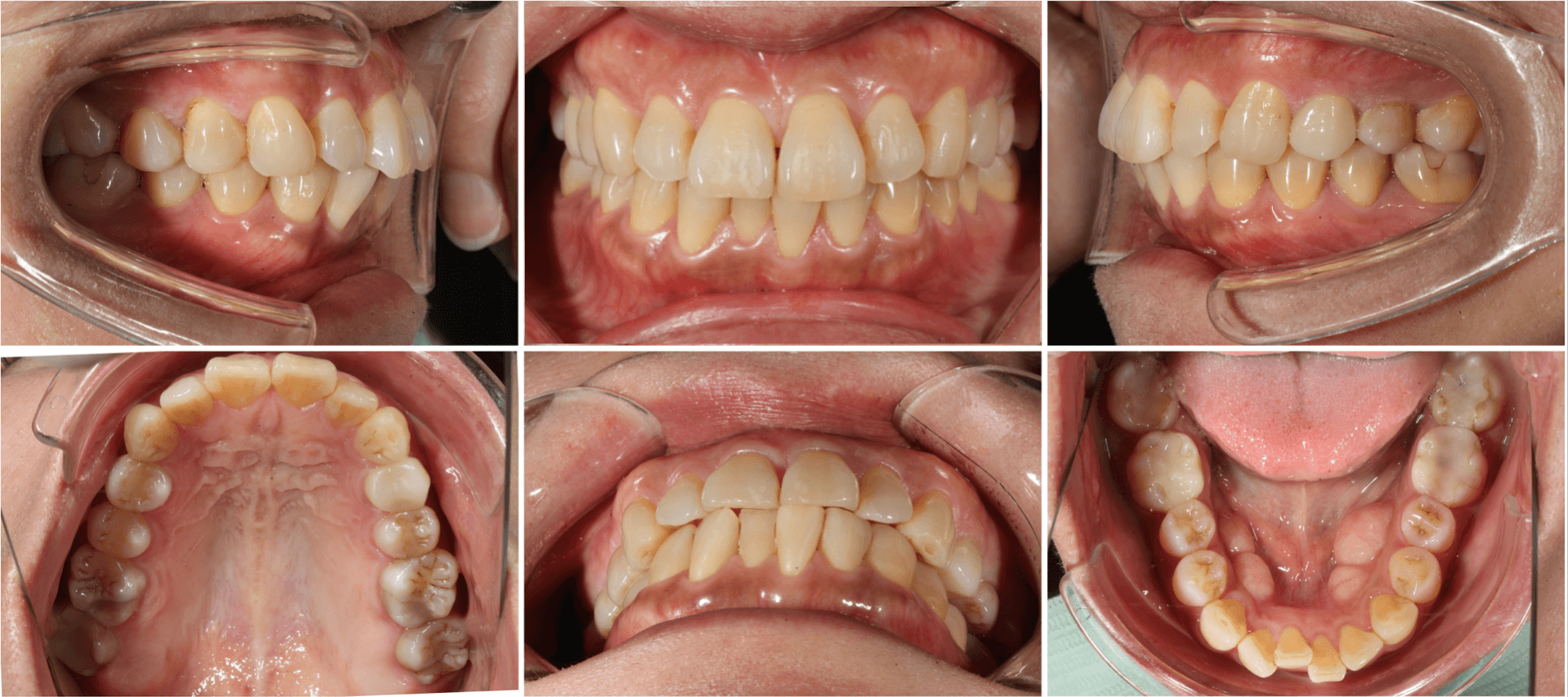
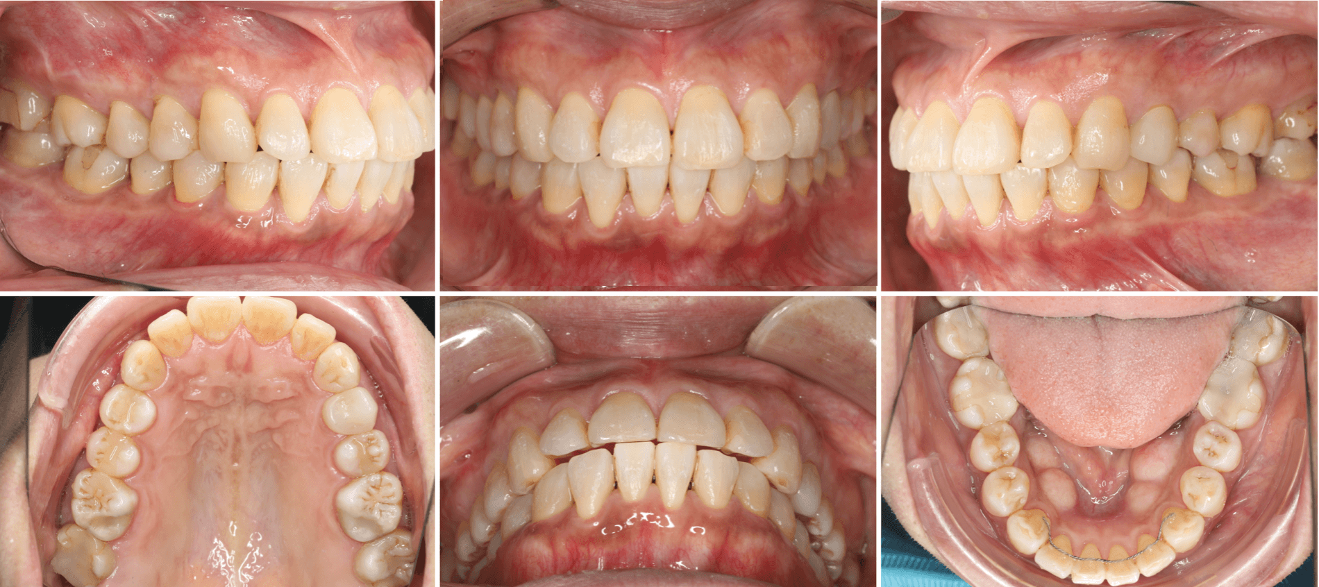
治療経過中の写真
| 主訴 | 下の前歯のでこぼこが年々ひどくなってきているような気がするので、治したい。 できれば歯を抜かないでほしい。 口元の前突感は気になっていない。 |
|---|---|
| 治療内容 | 非抜歯にてマルチブラケットにて排列を行う。 |
| 治療費 | 657,000円 |
| 治療期間 | 7ヶ月 |
| リスク・副作用 | 疼痛、知覚過敏、顎関節症、虫歯、歯周病、歯根吸収、歯髄壊死、歯肉退縮、歯の亀裂、ホワイトスポット、ブラックトライアングル、隣在歯根の損傷(アンカースクリューによる)など |

























