非抜歯 軽度のデコボコケース ワイヤー矯正治療
- before

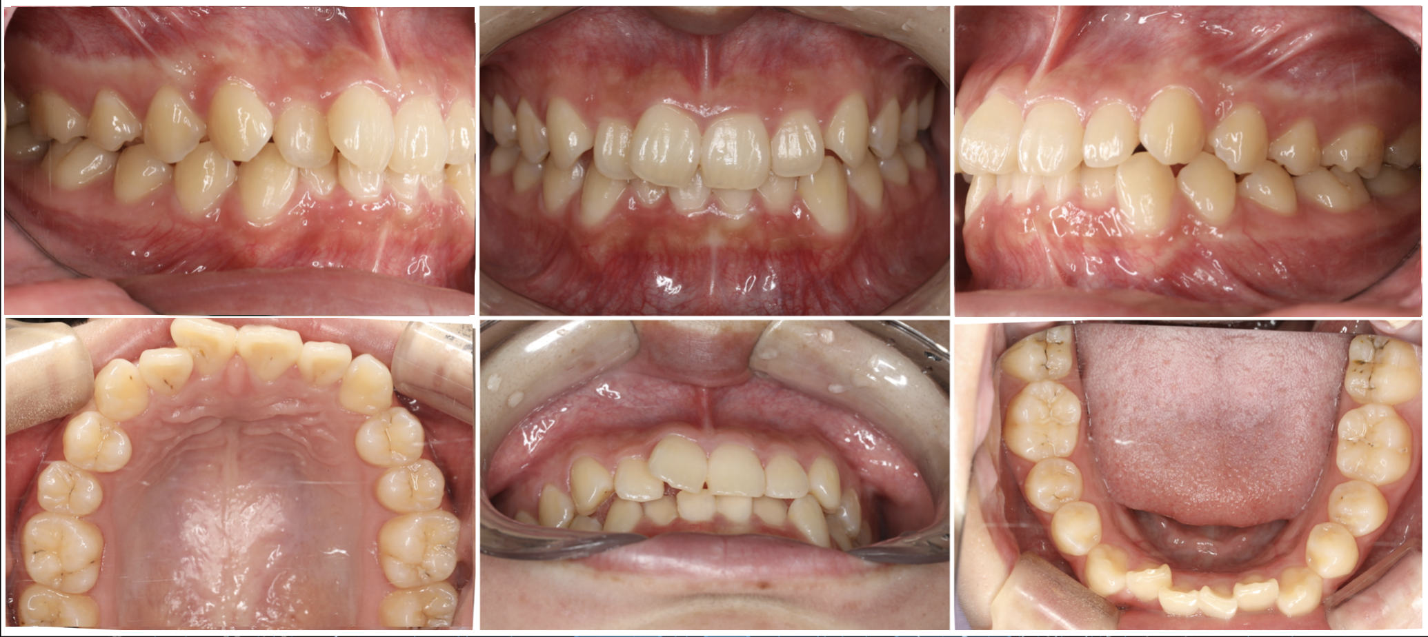
- after

治療経過中の写真
| 主訴 | 上下前歯のデコボコが気になる ワイヤーで治療を希望したい |
|---|---|
| 治療内容 | 軽度叢生のため、非抜歯でマルチブラケットで排列を行った。 正直申し上げると、アライナーが最適なケースと思われる。 フィックスリテーナーで保定管理中である。 担当医 里 裕太郎 |
| 治療費 | 660,000円 |
| 治療期間 | 8ヶ月 |
| リスク・副作用 | 疼痛、知覚過敏、顎関節症、虫歯、歯周病、歯根吸収、歯髄壊死、歯肉退縮、歯の亀裂、ホワイトスポット、ブラックトライアングル、隣在歯根の損傷(アンカースクリューによる)など |

























