重度開咬 MFTと抜歯必要だった矯正治療 ワイヤー矯正
- before

- after

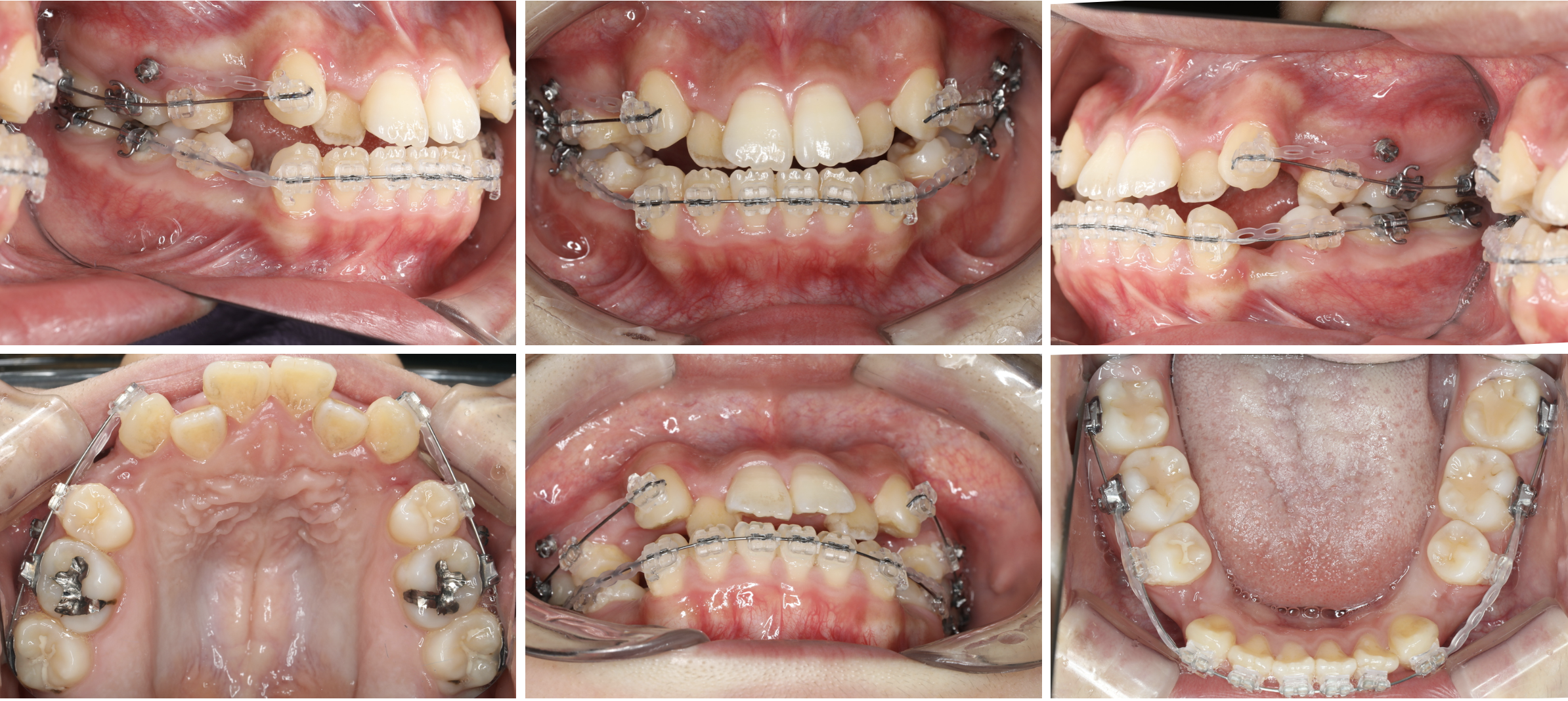
治療経過中の写真
| 主訴 | 前歯でものが噛めない デコボコがひどく歯磨きできているか不安 |
|---|---|
| 治療内容 | 舌癖(舌の悪い癖)が原因の重度開咬症例のため、難症例である。 上下両側第一小臼歯を抜歯して、アンカースクリューは敢えて高い位置に来るように埋入するようにした。 マルチブラケット装置にて治療を行い、MFT(これがかなり大事です。舌の悪い癖を改善し、歯ならびが綺麗になった後に後戻りしないかどうかはこの舌の正しい運動ができるかにかかっていると言っても過言ではありません。) 担当医 里 裕太郎 |
| 治療費 | 704,000円 |
| 治療期間 | 2年1ヶ月 |
| リスク・副作用 | 疼痛、知覚過敏、顎関節症、虫歯、歯周病、歯根吸収、歯髄壊死、歯肉退縮、歯の亀裂、ホワイトスポット、ブラックトライアングルなど |





























