重度のデコボコ 小臼歯4本抜歯症例 ワイヤー矯正
- before

- after

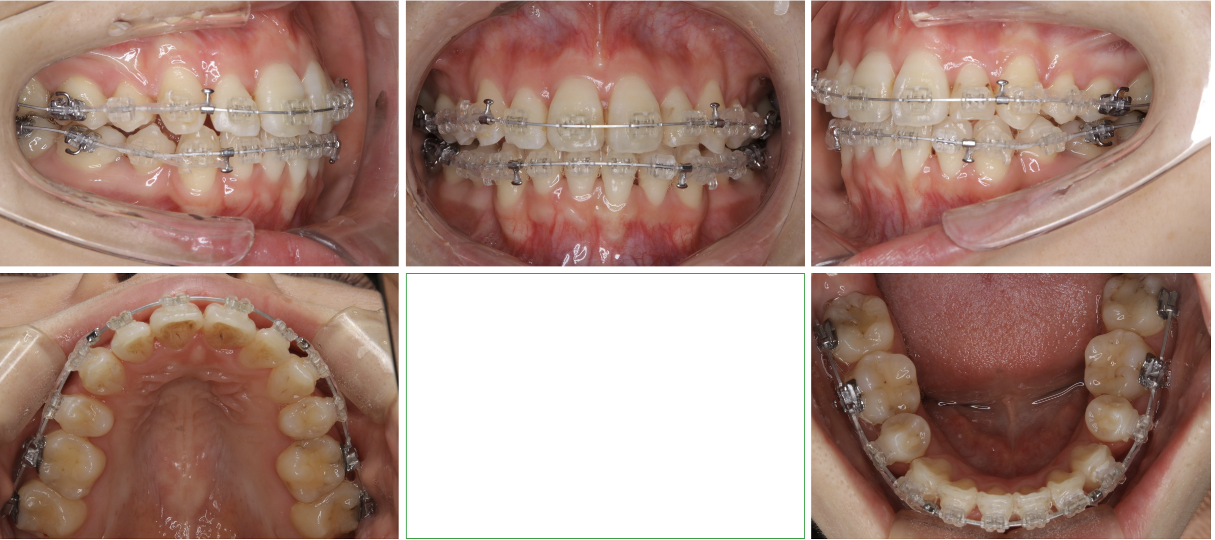
治療経過中の写真
| 主訴 | デコボコが強く綺麗にしたい ワイヤー矯正希望 |
|---|---|
| 治療内容 | 重度の叢生のため、上下小臼歯を4本抜歯し、マルチブラケット装置を使用して排列を行う。 ブラックトライアングルが生じて患者様は気にされていたが、どうしても叢生が強いところには骨がないため、多少のブラックトライアングルは生じてしまうことは事前の説明通りで承知置き頂きたいところ。 担当医 里 裕太郎 |
| 治療費 | 660,000円 |
| 治療期間 | 2年1ヶ月 |
| リスク・副作用 | 疼痛、知覚過敏、顎関節症、虫歯、歯周病、歯根吸収、歯髄壊死、歯肉退縮、歯の亀裂、ホワイトスポット、ブラックトライアングル、隣在歯根の損傷(アンカースクリューによる)など |



























