重度のデコボコ 抜歯が必要なインビザライン治療
- before

- after

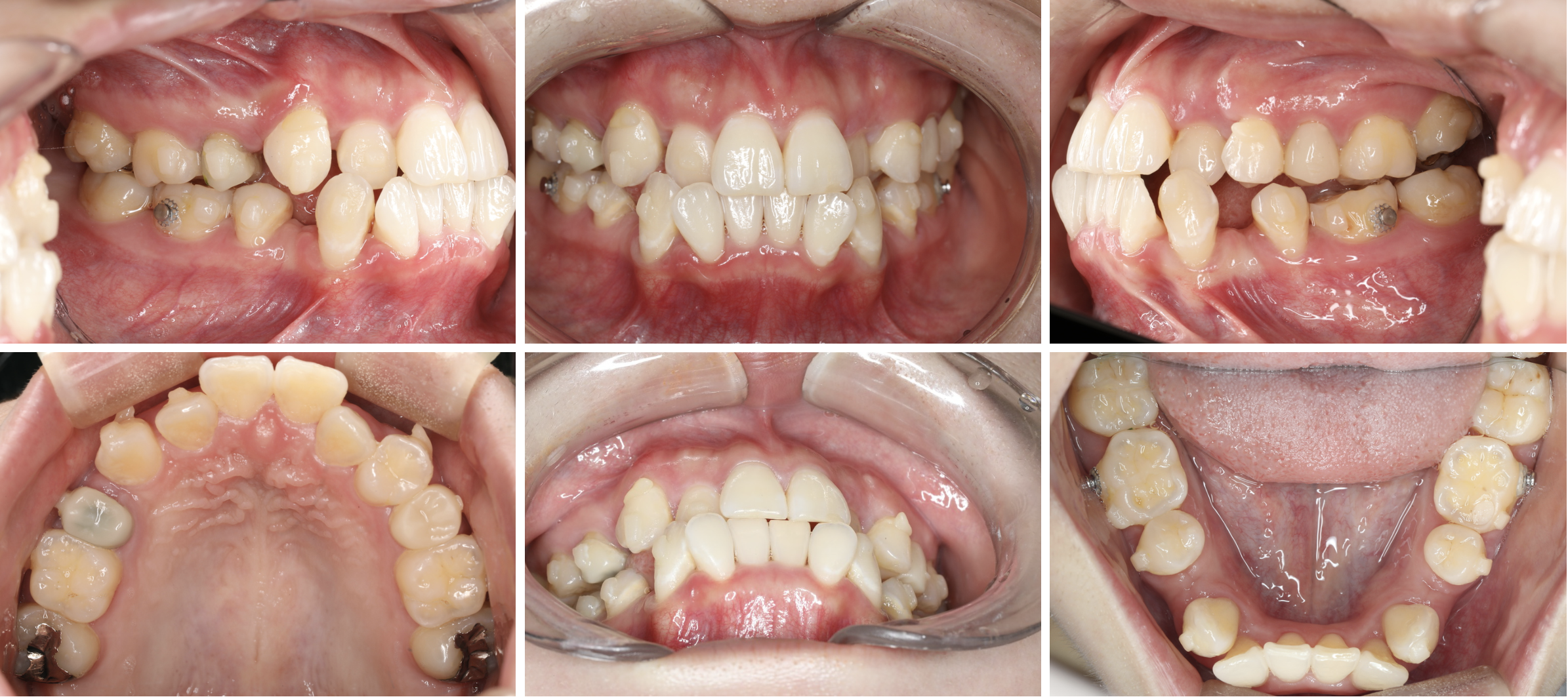
治療経過中の写真
| 主訴 | デコボコを綺麗にしたい モデル業で写真を撮る機会が多いので、できるだけ目立たない装置で早めに終わらせてほしい |
|---|---|
| 治療内容 | 凸凹が強いため、上下左右の側方歯抜歯(この場合左上犬歯を抜歯、それ以外第一小臼歯を抜歯)し、インビザラインにて排列を行う。 また、左下第一大臼歯が酸蝕症で歯冠形態に問題があり、矯正治療の最終的な位置でも咬合しておらず、ダイレクトオクルーザルベニアにて即日で修復を行い、綺麗な咬合を付与した。 担当医 里 裕太郎 |
| 治療費 | 990,000円 |
| 治療期間 | 2年4ヶ月 |
| リスク・副作用 | 疼痛、知覚過敏、顎関節症、虫歯、歯周病、歯根吸収、歯髄壊死、歯肉退縮、歯の亀裂、ホワイトスポット、ブラックトライアングルなど |





























