上の歯と下の歯の真ん中が大きく異なる小臼歯4本抜歯症例 ワイヤー矯正
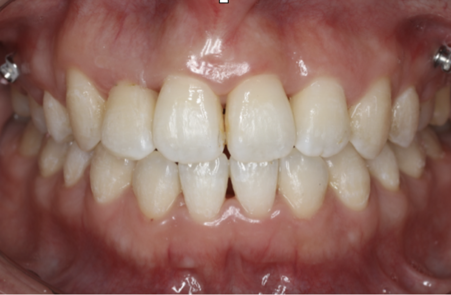
- before

- after

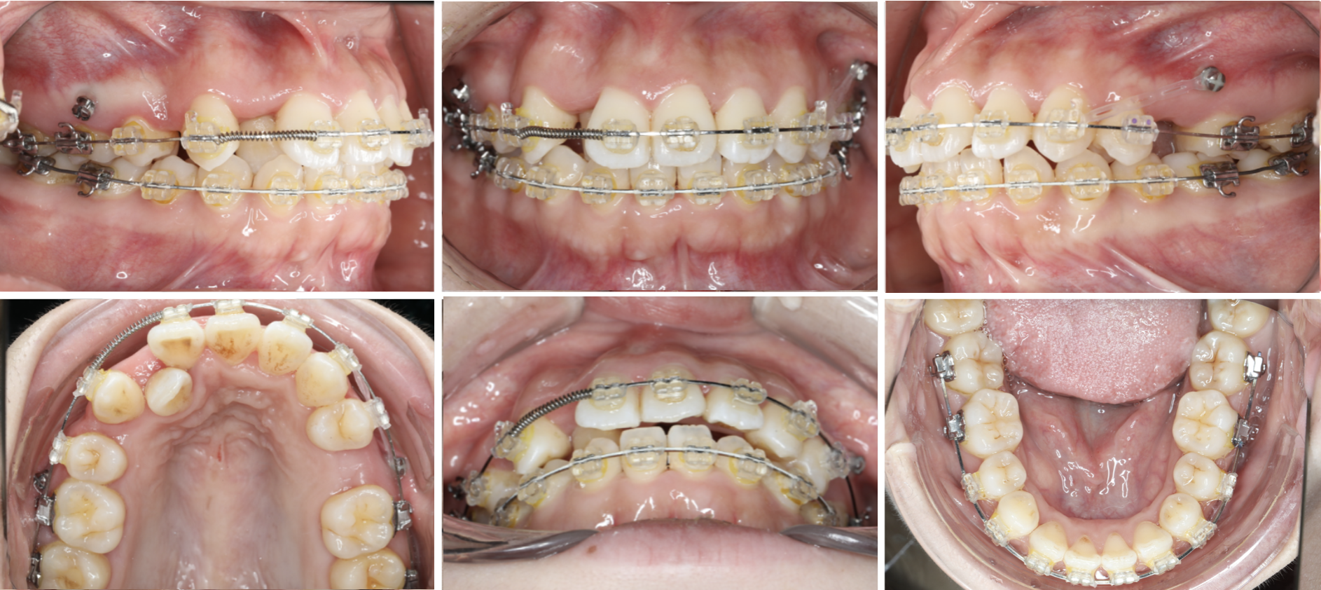
治療経過中の写真
| 主訴 | 全体的な凸凹が気になる 上と下の歯の真ん中が大幅にずれている 下の前歯の本数がもともと足りないと言われている |
|---|---|
| 治療内容 | 上顎右側第一小臼歯、上顎左側第二小臼歯(この歯に大きな虫歯が存在したため)を抜歯を行い、アンカースクリューを用いて、固定源のコントロールを行い、マルチブラケット装置にて排列を行った。 また治療の最後に、上顎右側中切歯と右側側切歯の間に大きめのブラックトライアングルを生じたため、ダイレクトボンディングにてスペースのカモフラージュ治療を行い、できるだけブラックトライアングルを消すように努力した。 保定については犬歯間保定装置とクリアリテーナーを使用して、保定を行っている。 今後、下顎の親知らずを抜歯する予定である。 担当医 里 裕太郎 |
| 治療費 | 770,000円 |
| 治療期間 | 2年1ヶ月 |
| リスク・副作用 | 疼痛、知覚過敏、顎関節症、虫歯、歯周病、歯根吸収、歯髄壊死、歯肉退縮、歯の亀裂、ホワイトスポット、ブラックトライアングルなど |



























