出っ歯(口元の突出)改善!ワイヤー矯正治療の成功事例
2024年10月20日
出っ歯(口元の突出)改善!ワイヤー矯正治療の成功事例
みなさん、こんにちは!
志木駅チカ、駅ナカの歯医者 志木駅前歯科グループの院長の里です。
今回は、先日終了した、小臼歯4本抜歯、ワイヤー矯正治療の概要をお話致します。
患者様の主訴と初期状態
患者様の主訴(気になるところ)は出っ歯感(口元の突出感)、前歯が噛みづらい、口が閉じづらいというものでした。
口が閉じづらいというのは、『口唇閉鎖不全』という状態で、頑張って口を閉じようとすると、顎先にシワがよったり、顎の形がきれいになりません。
また、口呼吸を誘発し(口呼吸だから前歯が出てしまうということなのですが)、乾燥する冬場などは、喉を痛めやすいなどの全身の健康に影響する状態となります。
矯正治療を行うことは全身の健康に大きなメリットがあります。
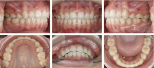
初期資料とセファロ分析
当院の矯正治療の流れに則って、初期資料をとります。
こちらが最初の状態です。




セファロ分析にて、骨格と歯の位置関係の把握をしっかり行います。
診断はアングル2級、上下顎前突という状態です。
矯正治療の注意点
患者様は口元を下げたいということが1番の改善したい点でしたが、よく患者様にお話する話で、下げすぎには注意が必要です。
年齢とともに口元のハリがなくなりますから、ほうれい線の原因になったり、下げすぎることで、歯に過剰な負荷がかかり、重度の歯根吸収、歯の神経が死ぬ(失活)ことが起こったりありますので、どのくらい下げるのかは、十分に患者様とご相談の上決めていきます。
治療計画:小臼歯抜歯とワイヤー矯正
治療の流れとして、前歯を下げるためにスペースが必要なため、上下の小臼歯を抜歯し、アンカースクリューを併用して、ワイヤー矯正にて治療を進める計画としました。(アンカースクリューの必要性については過去のブログをご参照ください。)
抜歯と装置装着

上下の抜歯が終わり、上下に装置が装着されました。
また、左右の上顎にアンカースクリューの埋め込みが終わっています。
前歯はほとんど当たっていないので噛めない状態です。

一度その場で綺麗に並べます(レベリングと言います。)

前歯をゴムを利用して抜歯したスペースに下げて行きます。

上下ともに抜歯したスペースに下げて行きます。
前歯が使えるようになったを患者様からお話し頂きました。
スペース閉鎖と微調整

スペースが完全に閉鎖されました。ここから微調整を行って仕上げに入ります。
治療完了:アンカースクリューの除去、保定装置の装着

噛み合わせも綺麗に整い、前歯が噛んでいなかったことも改善されました。
最後にアンカースクリューは外します。
そして、歯の裏側に細い針金をつけて、保定(固定)しておきます。
口元の改善
肝心の口元は、どうなったでしょうか?

患者様も満足されるレベルで突出感を改善することができました。
治療前、治療後のレントゲンを撮ってどのように変化したか、比較してみました。

アンカースクリューを用いたおかげで、前歯の位置も大幅にさがり、口元の改善ができました!

まとめ:矯正治療で美しい笑顔を目指すなら
矯正治療で、素敵な笑顔、口元美人を目指すなら、志木駅前歯科グループにお任せください!
矯正治療のことだけでなく、新座市・志木市・朝霞市周辺で歯医者をお探しの際や、歯のことでお悩みの方は「志木駅前歯科・矯正歯科」「志木駅南口歯科・矯正歯科」までお気軽にご来院ください。柳瀬川からもお立ち寄り頂けます🦷 ご予約はホームページ、またはお電話にて受け付けております!
院長 里 裕太郎























