オフィスホワイトニング、ホームホワイトニング症例 歯の黄ばみが気になる!(3回コース)
2024年10月17日
こんにちは、志木駅ナカ、駅チカの歯医者、志木駅前歯科グループ、歯科衛生士の吉成です。
今回はこちらの患者様のお悩み、『歯が黄ばんできているので、歯を白くしたいという』ということで、ホワイトニングについてお話ししていきます。

【ホワイトニングとは?】
歯に特殊な薬剤を用いて色を白くする施術を行うことを、ホワイトニングと言います。
ホワイトニングの薬剤に含まれている過酸化水素、過酸化尿素という成分が歯の内部に浸透し、沈着した色素を分解することで歯を白くすることができます。
繰り返し行うことで、より深い部分の色素まで分解し、より白くすることができます。
※詰め物、被せ物は白くなりません
※また、1回の施術で白くなることはほとんどないですので、複数回行うことを当グループでは推奨しております。
その他、よくあるケースとしては、セラミック治療を行う場合には、先にホワイトニングをして、色が安定してから、その後の歯の色に合わせて、セラミックを作る必要があります。またその後には白さを維持するために、後ほどお話するホームホワイトニングが必要です。
【ホワイトニングの種類について】
①オフィスホワイトニング
歯科医院で行うホワイトニングのことをオフィスホワイトニングと言います。
歯の上に薬剤を置いてライト照射や時間を置くのを数回繰り返します。
オフィスホワイトニングの特徴は、
・施術時間が90〜120分かかる
・効果を実感するのが早い
・歯がしみる可能性がホームホワイトニングよりも高い
・ホームホワイトニングに比べて後戻りが早い
②ホームホワイトニング
ご自宅でご自身でやっていただくホワイトニングのことをホームホワイトニングと言います。
個人の型でマウスピースを作り、その中に薬剤を入れて装着し1日約2時間を2週間続けます。
ホームホワイトニングの特徴は、
・自分が好きなタイミングで行える
・効果を実感するまでに時間がかかる
・専用のマウスピースを作るため上下型取りをしなくてはならない
・オフィスホワイトニングよりも後戻りがゆっくり
・専用のマウスピースにジェルを入れる手間がある
またホワイトニング後の注意事項をお守り頂く、必要があります。
・虫歯がある方、歯周病が進行している方は行えない(先に治療が必要です。)
・ホワイトニングを一度行ったからと言ってずっと白さが持続するわけではない
・後戻りは必ずするので、白さを持続させるためには定期的に行う必要がある
・食生活で後戻りの早さは左右される
・ホワイトニング後なるべく24時間はコーヒー、ワイン、カレーなど色味の強いものは避ける必要がある
・歯がしみる可能性があるが1日経つと気にならなくなる
・ホワイトニングには個人差がある(継続すること、回数を増やすことが大事です)
当院のホワイトニングの費用ですが、
①オフィスホワイトニング(前歯12本)
・1回29700円
・3回セット(55000円)
②ホームホワイトニング
全顎(上下)22000円
片顎(上下どっちかのみ)16500円→ホームホワイトニングはマウスピースの型取り代、薬剤4本込みで22000円になり
ます。薬剤がなくなってしまった場合追加薬剤4本5500円で購入可能です。
また、当院ではダブルホワイトニング法をお薦めしております。
ダブルホワイトニング法とは歯科医院でオフィスホワイトニングを行い白さを持続してもらうためご自宅でホームホワイトニングを行なっていただく方法です。オフィスホワイトニング単体で行うよりも、効果が高く持続します。
オフィスホワイトニング1回+ホームホワイトニング 51700円
オフィスホワイトニング3回+ホームホワイトニング 71500円→こちらがお得でオススメです!!
(上記の値段は全て税込価格になります。)
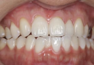
こちらの患者さんはオフィスホワイトニング3回セットを行なった方です。
ホワイトニングを始める前

3回終了後

黄ばみが減り、白さが2段階ほど上がりました。患者さまには効果を実感いただき、大変満足して頂きました!
こちらの治療の概要
費用の総額 3回セット(55000円)
リスク 上記通り
回数 3回
治療期間 1.5ヶ月
多くの方が志木駅前歯科グループでのホワイトニングで効果を実感して頂いております!
何かあった時にも安心な医療機関でのホワイトニングがお勧めです!!























