虫歯治療の実際(保険診療、修復治療)
2024年10月15日
こんにちは、志木駅ナカ、駅チカの歯医者 志木駅前歯科グループの田中です。
今回は当院で日常的に行っている、保険診療で行う前歯にできた虫歯をいかに治療していくかを画像を交えて解説して行きます。
その前に、まずは虫歯の実態についてご説明して行きます。
虫歯(むしば)は歯科用語ではう蝕、もしくはカリエス(C)と呼ばれ、の主な原因は、お口の中で細菌(ミュータンス菌)と食べ物の残りカスで特に糖質(甘いもの:グルコース)が反応してできる酸です。この酸が歯のエナメル質をまず溶かして、歯に穴が開いていくことで虫歯が発生します。
歯の構造としてエナメル質が一番硬く、その次の層の象牙質は柔らかいですので、エナメル質を破って進んだ虫歯は一気に加速して虫歯を進行させます。
虫歯のレベルには、大きく分けてC0~C4まで様々で過去に記載した当院ブログ記事『親知らず救出大作戦』に詳細がございますので、ご興味ありましたら、読んでみてください。よろしくお願い致します!
具体的に虫歯(う蝕)の主な原因、または注意するべき点を以下にまとめてみます。
1. 細菌(ミュータンス菌など)
口の中に存在する細菌です。各個人でその多い少ないがあります。食物中に含まれる、糖分(グルコース)をエサにして、その化学反応で酸を放出します。この酸が歯のエナメル質を破壊し、脱灰(エナメル質が溶けること)を引き起こし、虫歯の初期状態を作り出します。
2. 甘い食べ物や飲み物、そう言った食事が好きな場合
チョコレート、キャンディー(特にキャラメルなどの粘着性の高い食べ物、清涼飲料水、など、砂糖を多く含んだものは細菌にとっての栄養源となり、酸の生成を加速させて行きます。(修飾因子と言います。)
3. プラーク(歯垢)
プラークは、口の中に残った食べかすに集まった最近の集まり(コロニー)が歯の表面にくっ付きます。このプラーク内で細菌が1で書いたような活動を行い、酸が放出され、歯が溶かされて行きます。
4. 唾液の量と質
唾液は口腔内を洗い流し、先ほど細菌が放出する酸を中和する緩衝作用というとても大事な作用を持っています。しかし、唾液の分泌が少ない、漿液性と言ってさらさらしている唾液ではなく粘着性の強い唾液だと、酸が長く歯に留まりやすくなり、虫歯のリスクが高くなります。例えば、高齢による唾液腺の老化で唾液が減少し根面カリエスが高齢者で今問題になっている理由の一つにあるかと思います。また薬の副作用で唾液が減少する、シェーグレン症候群のような自己免疫疾患で唾液が減少するなど唾液が減少してしまう理由は様々です。
唾液が少ない方は一度内科の受診をお勧めします。人工唾液というものがあるくらい唾液って大事なんです!!
5.歯磨きの習慣がついていない、やっているが磨けていない
しっかりと歯を磨かずにプラークを取り除けない場合、細菌が繁殖し、虫歯が進行しやすくなります。
定期的な歯医者さんでのクリーニングが重要です。
6. 食事のタイミングが大切
食事や間食の頻度が多いと、酸が歯に接触している時間が長くなり、虫歯が発生しやすくなりますので、間食後しっかりと歯を磨く、間食をできるだけ避けるなどの注意が必要でしょう。
歯磨きはもちろんですが、フロスの使用、バランスの良い食生活、そして歯科検診が重要です。
ということで本題の治療に入ります。
(掲載に伴い、写真の使用許可は患者様よりいただいております。)
こちらの患者様は定期検診、虫歯のチェックもして欲しいいうことを希望され初診で来院されました。
口腔内を確認すると、前歯の裏側に黒い影が肉眼でも確認できます。みなさんもわかりますよね?

(前からでは虫歯の存在はわかりませんが、、)

(歯と歯の間にできた虫歯です)
ご本人にはまだ自覚症状はなく、口腔内カメラで写真を撮って患者様に状況の説明を行い、治療を行いまいた。
まず硬いエナメル質をできるだけ健康な部分を削らないようにしてから、虫歯領域が見えるように削って行きます。

(中の虫歯が見えてきました)
器具を変えて内部の虫歯を綺麗に除去していきます。

(虫歯検知液を利用して、綺麗に虫歯を取り切った状態)
ここからは光重合型のレジンのコンポジットレジン(CR)に虫歯であいた穴を綺麗にうめる作業を行います。
ネイルと同じような、光で固まる樹脂の材料です。

(ストリップスと呼ばれる、セロハンテープのようなもので両隣がくっつかないように、また気泡など入らないように
材料を流し込んで行きます。)

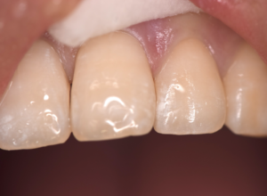
(材料を詰めた後、前から見ても気になりません)

(虫歯もなくなり、綺麗になりました!)
今回は前歯のC2レベルの虫歯治療について、概要を解説して行きました。
もちろん、虫歯の状況に応じてはケースバイケースですので、これだけで治療が終わらないケースも多々あります。
被せ物にしないといけないケースや虫歯が大きくてインプラント、ブリッジにしないといけないケース。
保険診療でも、しっかりと治療をしていきますので、歯のお困りごとありましたら、何なりと、志木駅前歯科グループにご相談ください!!
※志木駅前歯科グループは駅チカのスーパーTAIRAYA3階志木駅前歯科・矯正歯科、志木駅ナカの志木駅南口歯科・矯正歯科の2医院ございます。
歯科医師 田中 雄真























