ワイヤー矯正症例 片顎抜歯ケース
2024年10月8日
みなさんこんにちは!
志木駅前歯科・矯正歯科、志木駅南口歯科・矯正歯科の里です。
今回は当院で治療が終了した、ワイヤー矯正の症例紹介です。
※掲載に伴い、写真使用はご本人の使用の許可を得ております。
患者様は、もともとその妹様の治療を私が行っていた関係で、本当にありがたいことにご紹介くださり、治療を開始となりました。遠方に住まれており、まずはオンライン(Zoom)にて矯正相談を行い、患者様の治療の費用や装置のご要望、矯正治療をすることで、どのようになりたいか、というはお話を30分ほどかけてじっくり行いました。
※オンラインでのご相談を希望の方は
info@shiki-ekimae.comまでご連絡頂きますと幸いです。
当初、ご本人はよく目にする、マウスピース矯正、その中でも噛み合わせのしっかりとした治療が難しい、『格安マウスピース矯正』』に興味があると仰っておりました。とりあえず、前歯が並べば良いという希望でした。歯ならびが悪く、でこぼこがあると虫歯、歯周病、顎関節症、噛み合わせの不調に伴う歯の破折などいろんな問題を抱えています。
とりあえず並べる治療ですと、一番大事な噛み合わせの部分の改善は難しく、私見ですが、もちろん機能は維持したまま、審美(見た目)だけ治す治療を完全に否定しているわけではございません。しかし、格安と言っても、ある程度費用はかかる訳で、せっかくの矯正治療、人生で何回もできる治療ではないことを考えて、当院の料金システムの関係で、マウスピースよりも安く、仕上がりの綺麗な通常のワイヤーの矯正にて、治療を行うことをおすすめしました。
一旦、持ち帰って考えたいとのことでしたが、1週間ほどでご連絡を頂き、『やはりしっかり噛み合わせも考えた矯正治療を希望したい』ということでした。
当院の矯正治療の流れですが、
①初診矯正相談(期間限定の検査費無料キャンペーン中,2024年10月5日現在)
②矯正検査(口腔内スキャナーiTeroでも歯型の採得、パノラマエックス線写真撮影、3DCT撮影、セファロ撮影)
③②の状況から分析を行い、現状の把握と、それから得られたデータで治療計画の立案
④患者様へ説明、同意書(矯正治療に伴うリスクの説明)
⑤治療開始、ブラケット装着
⑥治療終了後、保定管理へ(保定とは矯正治療後に歯列をキープし、後戻りが起こらないように、
⑦定期歯並びチェック
この流れで治療が進んでいきます。
最初に初期の資料を採得します。


患者様は前歯の凸凹感、お口元の突出感が気になるとのことで、診断は矯正学的な専門用語で言うと、アングル2級、上顎前突という状態です。綺麗なお口元、噛み合わせを獲得するために、最低限、上顎両側の第一小臼歯(八重歯の一つ奥の歯)を2本だけ、抜歯させてもらい、下顎の歯は非抜歯(歯を抜かず)に矯正治療をスタートしました。
料金プランについてはこちらをご参照ください。
https://www.shiki-ekimae.com/price/

抜歯をした、第一小臼歯のスペースは前歯の後退とともに閉じていきます。
この辺りからディテーリングと言って、最終的な噛み合わせを綺麗にするための仕上げに入ります。

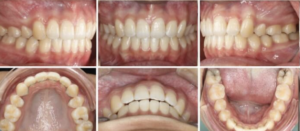
治療終了後の状態です。綺麗に噛んでいて全ての歯はしっかりと機能している状態であることが分かります。

最高のスマイルになりました!
友人にもめちゃくちゃ歯並び綺麗になったね、と言われて本当に矯正を良かったと言って頂きました。このブログを書いている今もしみじみ、歯科医師を仕事にできてよかったなと思います。
患者様からはその後7人ほど患者様をご紹介(紹介割もございます!)頂いて、こちらの患者様方もしっかり責任もって治療させて頂きます。最後まで手を抜かない矯正治療を皆様に提供し、ご満足行く結果を出せるように今後ともスタッフ一同、精進して参ります。
今後とも志木駅前歯科グループをよろしくお願い致します。
※こちらの治療詳細
治療総額 550,000(現在の料金プランではありません)
治療に伴うリスク 歯根吸収、失活、変色、歯肉退縮、虫歯、歯肉炎など
治療期間 1年5ヶ月
治療回数 20回
院長 里 裕太郎























