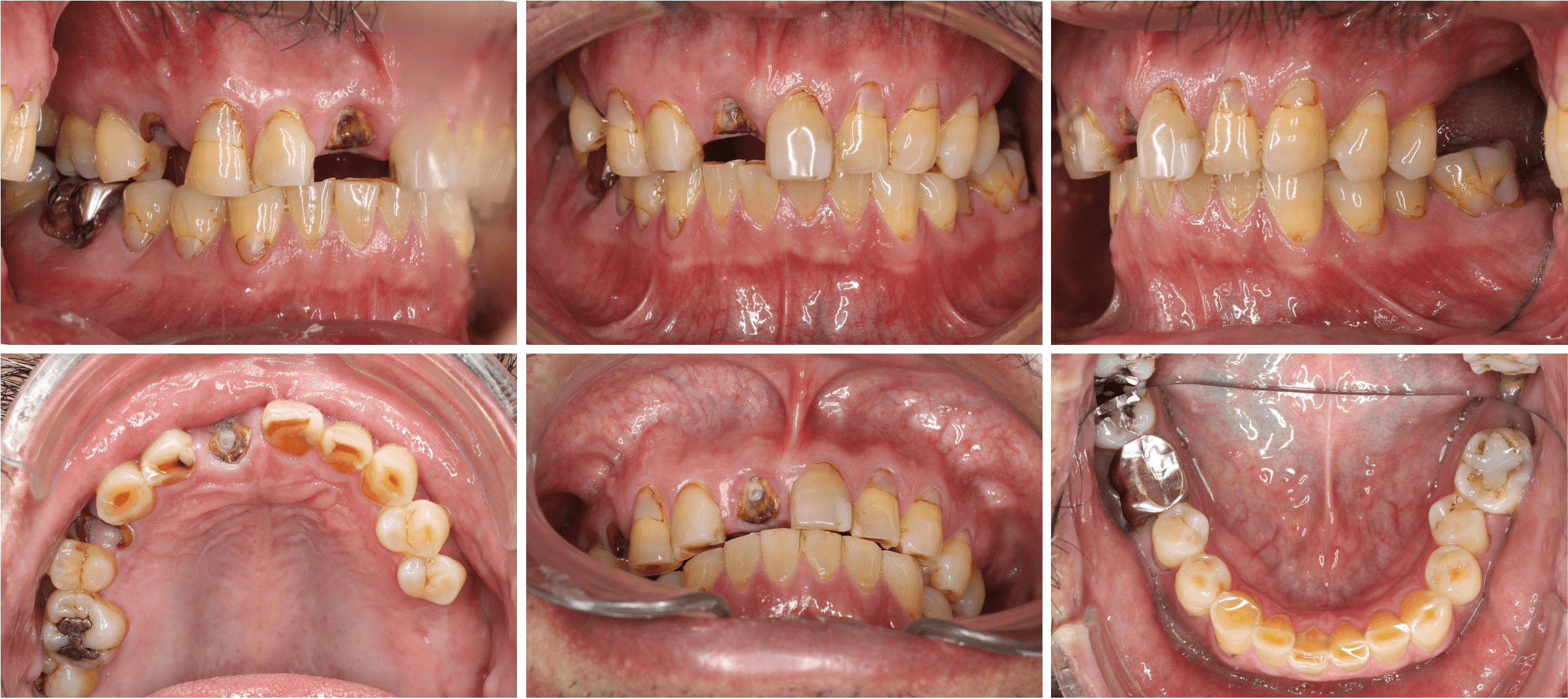
静脈内鎮静下で行った 4本インプラント同時埋入 50代男性症例
- before

- after

治療経過中の写真
| 主訴 | インプラントをやりたいが糖尿病があり他院で断られた どうしてもインプラントをしたい |
|---|---|
| 治療内容 | 上下4本、専属の歯科麻酔科医による静脈内鎮静法下でインプラントの4本埋入手術を行った。 術後の感染管理も安定しており、現在オッセオインテグレーションを待っている段階である。 担当医 里 裕太郎 |
| 治療費 | 2,000,000円 |
| 治療期間 | 8ヶ月 |
| リスク・副作用 | 疼痛、腫脹、発赤、神経損傷による知覚鈍麻、麻痺、出血、内出血斑、隣在歯根の損傷、上顎洞炎、術後感染など |
























